Trang chủSÁCH DỊCH TIẾNG VIỆTSổ tay Phục hồi chức năng Lâm sàng Braddom 2026

Sổ tay Phục hồi chức năng Lâm sàng Braddom, Ấn bản thứ hai (2026). Chương 43. Chấn thương sọ não

Nhân (Nốt) Tuyến Giáp: Tổng quan lâm sàng
Sổ tay Phục hồi chức năng Lâm sàng Braddom, Ấn bản thứ hai (2026). Chương 47. Bại Não
Phác đồ chẩn đoán và điều trị Hội chứng Lowe

Sổ tay Phục hồi chức năng Lâm sàng Braddom, Ấn bản thứ hai (2026)
Nhà xuất bản: ELSEVIER, 2026
Tác giả: David Cifu, Henry L. Lew – Dịch và chú giải: Ths.Bs. Lê Đình Sáng
(C) Bản dịch tiếng Việt bởi THƯ VIỆN Y HỌC MEDIPHARM


Chương 43. Chấn thương sọ não

Traumatic brain injury
Mazlina Mazlan
Braddom’s Rehabilitation Care: A Clinical Handbook, 43, 437-452.e6


Hướng dẫn nhanh

  • Phân loại mức độ nặng của CTSN dựa trên:
    • Điểm Thang đo Hôn mê Glasgow (GCS) ban đầu
    • Thời gian bất tỉnh/hôn mê
    • Thời gian mất trí nhớ sau chấn thương (PTA)
  • Quá trình sinh lý bệnh
    • Tổn thương nguyên phát: Phá vỡ mô và chức năng não tại thời điểm va chạm
      • Tổn thương sợi trục lan tỏa
      • Đụng dập: tổn thương tại chỗ (coup) và tổn thương đối bên (contracoup)
      • Tụ máu ngoài màng cứng
      • Tụ máu dưới màng cứng
      • Xuất huyết dưới nhện
    • Tổn thương thứ phát: xảy ra vài giờ và vài ngày sau va chạm ban đầu
      • Giải phóng ồ ạt các chất dẫn truyền thần kinh
      • Phù não
      • Tăng áp lực nội sọ
      • Rối loạn chức năng ty thể
      • Hoại tử tế bào
      • Chết tế bào theo chương trình (Apoptosis)
    • Quá trình thoái hóa, sửa chữa và tái tạo mạn tính: tình trạng viêm mạn tính kéo dài hàng tháng và hàng năm sau chấn thương
      • Thiếu hụt nhiều chất dẫn truyền thần kinh
      • Rối loạn chức năng tế bào
      • Giải quyết phù não
      • Điều hòa lưu lượng máu
      • Hồi phục tình trạng mất kết nối thần kinh (diaschisis)
  • CTSN nhẹ: tiêu chí chính để chẩn đoán
    • Một trong những điều sau: lú lẫn, mất định hướng, mất ý thức < 30 phút, PTA < 24 giờ, các bất thường thần kinh khu trú thoáng qua khác
    • Và: điểm GCS từ 13 đến 15 sau 30 phút
  • Thang đo Phục hồi Hôn mê JFK – Sửa đổi (JFK Coma Recovery Scale-Revised)
    • Vai trò trong chẩn đoán rối loạn ý thức
    • Có thể phân biệt giữa trạng thái thực vật và trạng thái ý thức tối thiểu
    • Có thể phát hiện những cải thiện tinh tế
    • Cung cấp độ tin cậy giữa những người đánh giá và độ tin cậy kiểm tra-kiểm tra lại
  • Phục hồi chức năng nội trú
    • Tập trung: cung cấp phục hồi chức năng để cải thiện sự độc lập về chức năng
    • Đánh giá phục hồi chức năng nội khoa
    • Khám thể chất và thần kinh
    • Xác định và quản lý các biến chứng nội khoa phổ biến và các tổn thương bổ sung liên quan đến CTSN
    • Đánh giá liên tục sự phục hồi chức năng nhận thức
    • Điều chỉnh can thiệp phục hồi chức năng theo sự phục hồi nhận thức và hành vi
  • Các vấn đề về tâm trạng, cảm xúc và tâm lý
    • Rối loạn giấc ngủ
    • Trầm cảm
    • Lo âu
    • Rối loạn căng thẳng sau sang chấn (PTSD)
    • Giảm kích thích và mệt mỏi
  • Suy giảm nhận thức
    • Quản lý phục hồi chức năng
      • Xác định các lĩnh vực nhận thức bị ảnh hưởng
      • Tiến hành kiểm tra tâm lý thần kinh chính thức
      • Mục tiêu phục hồi chức năng dựa trên khả năng và hạn chế nhận thức
      • Huấn luyện nhận thức
      • Sử dụng các chiến lược môi trường và hành vi
      • Điều trị dược lý dựa trên các chất dẫn truyền thần kinh ảnh hưởng đến chức năng nhận thức
    • Bệnh nhân trong giai đoạn PTA nên có một chương trình cấu trúc để hỗ trợ họ trong giai đoạn phục hồi.
  • Các vấn đề về hành vi
    • Kích động: rõ rệt nhất trong giai đoạn PTA ở bệnh nhân nội trú cấp tính
      • Mất định hướng, không thể lưu giữ thông tin, kích động
      • Kéo dài khoảng 2 đến 3 tuần
      • Ảnh hưởng đến khả năng tham gia trị liệu
    • Điều trị
      • Chiến lược hành vi
      • Đánh giá các kiểu hình tiền đề, hành vi và hậu quả
      • Điều chỉnh môi trường
      • Điều trị dược lý
  • CTSN ở trẻ em: sự khác biệt so với CTSN ở người lớn
    • Tổn thương chọn lọc đối với tổn thương thứ phát
    • Suy giảm có thể rõ ràng hơn về lâu dài
    • Chấn thương không do tai nạn là phổ biến, đặc biệt ở nhóm tuổi nhỏ hơn
    • Rối loạn nội tiết rõ rệt hơn
    • Thay đổi hành vi gây ra các vấn đề xã hội lâu dài
    • Tương quan giữa mức độ nghiêm trọng của chấn thương và kết quả học tập
    • Gia đình căng thẳng cao độ

Chấn thương sọ não (CTSN) là nguyên nhân chính gây tàn tật ở người trưởng thành trên toàn thế giới. Cần phân biệt nó với các loại tổn thương não mắc phải khác, chẳng hạn như khối u hoặc đột quỵ, do sự khác biệt đáng kể về cơ chế, điều trị và kết quả. Trong chương này và các slide điện tử đi kèm, dịch tễ học, các yếu tố nguy cơ, mức độ nặng, sinh lý bệnh, quá trình phục hồi và các chiến lược phục hồi chức năng cho CTSN được tóm tắt.

MỨC ĐỘ NẶNG VÀ DỊCH TỄ HỌC CỦA CHẤN THƯƠNG SỌ NÃO (BẢNG 43.1)

Mức độ nặng

Chấn thương sọ não (CTSN) ban đầu có thể được phân loại là nhẹ, trung bình hoặc nặng bằng cách sử dụng Thang đo Hôn mê Glasgow (GCS) làm tiêu chuẩn vàng dựa trên mức độ ý thức. Điểm GCS (3-15) được thu thập bằng đánh giá lâm sàng về các phản ứng thị giác, lời nói và vận động tốt nhất và xác định mức độ nặng là nhẹ (GCS=13-15), trung bình (GCS = 9-12), hoặc nặng (GCS=3-8). Một phiên bản sửa đổi cho trẻ em là Thang đo Hôn mê Glasgow Nhi khoa.

Mức độ nặng của tổn thương cũng có thể được xác định bằng thời gian mất ý thức và mức độ nghiêm trọng của các triệu chứng (lú lẫn thoáng qua, các triệu chứng thần kinh). CTSN nhẹ (mTBI) nên bao gồm ít nhất một trong những điều sau: lú lẫn, mất định hướng, mất ý thức dưới 30 phút, mất trí nhớ sau chấn thương (PTA) dưới 24 giờ, hoặc các bất thường thần kinh khu trú thoáng qua khác. Các loại thuốc bất hợp pháp, rượu, thuốc có tác dụng an thần, đặt nội khí quản, mở khí quản, hoặc các tổn thương và vấn đề khác có thể hạn chế việc sử dụng GCS.

Dịch tễ học

CTSN là nguyên nhân hàng đầu gây tử vong và tàn tật trên toàn cầu, với 2.8 triệu lượt khám cấp cứu, nhập viện và tử vong liên quan đến CTSN tại Hoa Kỳ hàng năm và 775,000 ca nhập viện liên quan đến CTSN tại Châu Âu hàng năm. Dịch tễ học của CTSN trên toàn thế giới dường như tuân theo các mô hình tương tự như những gì được tìm thấy ở Hoa Kỳ.

Nguyên nhân của CTSN, bao gồm té ngã, chấn thương liên quan đến thể thao, chấn thương do bạo lực và tai nạn giao thông, thay đổi theo tuổi, giới tính và quốc gia. Chấn thương liên quan đến té ngã cao nhất ở Hoa Kỳ và ở người lớn trên 75 tuổi; tai nạn giao thông đường bộ (RTA) cao nhất ở Châu Á và ở thanh niên.

Tỷ lệ mắc CTSN cao hơn ở nam giới trong độ tuổi thanh niên và phụ nữ ở người lớn tuổi. Ở trẻ em, những trẻ từ 0 đến 4 tuổi (lạm dụng trẻ em) và 15 đến 19 tuổi (RTA) có nguy cơ cao nhất. CTSN liên quan đến lạm dụng trẻ em có kết quả kém hơn các nguyên nhân khác.

Tình trạng kinh tế xã hội thấp hơn có liên quan đến nguy cơ chấn thương cao hơn do tăng tiếp xúc với các nghề nghiệp có nguy cơ cao, bạo lực cá nhân, phương tiện cũ hơn, nhà ở không đạt tiêu chuẩn và sử dụng các biện pháp phòng ngừa thấp hơn (thắt dây an toàn). Chấn thương liên quan đến bạo lực chiếm 11% CTSN và có nhiều khả năng xảy ra ở những người trẻ tuổi, chưa kết hôn, nam giới, dân tộc thiểu số và người lạm dụng rượu.

CTSN trong quân đội là phổ biến, xảy ra ở nam giới trẻ tuổi, chủ yếu (>85%) là mTBI về mức độ nặng, và bao gồm một loạt các nguyên nhân (tiếp xúc với vụ nổ, té ngã, RTA, mảnh đạn).

Kinh nghiệm lâm sàng

  • CTSN có thể được phân loại thành nhẹ, trung bình và nặng dựa trên GCS, thời gian mất ý thức và thời gian PTA.
  • Nguyên nhân CTSN khác nhau giữa các quốc gia và trong cùng một quốc gia.

 

SINH LÝ BỆNH (HÌNH 43.2, HÌNH 43.3 VÀ HÌNH 43.4)

Tổn thương nguyên phát

Tổn thương nguyên phát phá vỡ mô và chức năng não tại thời điểm va chạm (ví dụ, từ các lực cơ học trong chấn thương sọ não kín). Những lực này xảy ra hoặc từ lực tiếp xúc, khi đầu bị ngăn không cho di chuyển sau khi bị va đập, hoặc lực quán tính, khi đầu bị chuyển động và dẫn đến gia tốc và giảm tốc. Tình trạng mất kết nối thần kinh (Diaschisis) có thể xảy ra. Lực quán tính thường dẫn đến tổn thương sợi trục lan tỏa (DAI), với sự phá vỡ vi thể của các sợi trục, phù não và mất kết nối thần kinh tại ranh giới chất xám-chất trắng và các cấu trúc đường giữa (thể chai). Trong các trường hợp DAI nặng, các cấu trúc chất trắng sâu hơn bị ảnh hưởng và liên quan đến hôn mê.

Lực quán tính cũng có thể dẫn đến chuyển động khác biệt của não so với hộp sọ và gây ra các tổn thương khu trú (đụng dập). Đụng dập vỏ não xảy ra tại vị trí va chạm được gọi là tổn thương tại chỗ (coup), và đụng dập xảy ra ở phía đối diện với va chạm được gọi là tổn thương đối bên (contracoup). Các khiếm khuyết quan sát thấy với đụng dập não liên quan đến vị trí và kích thước tổn thương.

Các khối máu tụ khu trú có thể là kết quả của va chạm và tổn thương cục bộ, thường gây ra thay đổi thần kinh và thậm chí xấu đi, đối với các mạch máu màng cứng bên dưới (tụ máu ngoài màng cứng), các tĩnh mạch bắc cầu (tụ máu dưới màng cứng [SDH]), hoặc các mạch máu nằm trong khoang dưới nhện (xuất huyết dưới nhện [SAH]).

Tổn thương thứ phát

Tổn thương thứ phát xảy ra sau đó, lên đến vài giờ và vài ngày sau va chạm ban đầu. Phù não xảy ra sớm để đáp ứng với tổn thương ban đầu và có thể gây tăng áp lực nội sọ (ICP), giảm áp lực tưới máu não (CPP) và thoát vị não.

Tổn thương do kích thích độc thần kinh (excitotoxic insult) thường dẫn đến rối loạn chức năng ty thể và hình thành các gốc tự do phản ứng mạnh và tổn thương oxy hóa màng tế bào và DNA. Chết tế bào trong các mô hệ thần kinh trung ương (CNS) sau CTSN rơi vào hai loại: (1) hoại tử tế bào và (2) apoptosis hoặc chết tế bào theo chương trình. Trong CTSN, các kiểu hình chết tế bào thường phản ánh sự kết hợp của cả hoại tử và apoptosis. Hoại tử tế bào được đặc trưng bởi phù tế bào và nhân cũng như phá vỡ màng tế bào. Ngược lại, các tế bào chết theo chương trình được đặc trưng bởi co rút tế bào, cô đặc nhân và phân mảnh DNA.

Ngoài ra, một chuỗi tín hiệu dịch thể phức tạp sau chấn thương bao gồm các cytokine, chemokine, các phân tử kết dính hòa tan và các thụ thể viêm hòa tan có nguồn gốc từ tế bào miễn dịch. Cytokine là trung tâm trong việc lan truyền phản ứng viêm sau CTSN. Cụ thể, IL-1β và TNF-α có thể làm trung gian tổng hợp các hợp chất độc thần kinh và có liên quan đến các thành phần kích thích độc thần kinh của tổn thương thứ phát. Kích hoạt hệ thống miễn dịch toàn thân sau chấn thương cũng có thể dẫn đến một giai đoạn ức chế miễn dịch và phản ứng chống viêm bù trừ dẫn đến liệt miễn dịch khi nghiêm trọng. Điều này ảnh hưởng tiêu cực đến sự phục hồi thần kinh.

Sự hiện diện của các tổn thương đồng thời có thể ảnh hưởng trực tiếp đến tổn thương thứ phát. Ví dụ, CTSN và sốc xuất huyết làm tăng tổn thương hồi hải mã so với chỉ CTSN, điều này có khả năng liên quan đến tăng thiếu máu cục bộ thứ phát.

Quá trình thoái hóa, sửa chữa và tái tạo mạn tính

CTSN có thể kích hoạt một trạng thái viêm mạn tính khi tình trạng viêm thần kinh tiếp tục trong nhiều tháng và nhiều năm sau chấn thương. Giai đoạn mạn tính sau chấn thương được đặc trưng bởi thiếu hụt nhiều chất dẫn truyền thần kinh và rối loạn chức năng tế bào. Một số bằng chứng cho thấy các tác dụng có lợi có thể xảy ra tại các thời điểm muộn hoặc mạn tính sau chấn thương. Ví dụ, biểu hiện cao hơn của TNF-α đã chứng minh tác dụng bảo vệ tại các thời điểm muộn hơn sau chấn thương.

Phục hồi CTSN xảy ra thông qua việc giải quyết phù não, điều hòa lưu lượng máu, và (sau đó) sự đảo ngược của tình trạng mất kết nối thần kinh (diaschisis), có thể liên quan đến sự điều khiển bởi cả kinh nghiệm hành vi và can thiệp dược lý, gây ra tính mềm dẻo của synap, nảy mầm sợi trục và tái tổ chức vỏ não.

RỐI LOẠN CHỨC NĂNG CHẤT DẪN TRUYỀN THẦN KINH SAU CHẤN THƯƠNG SỌ NÃO

Chức năng hệ thống Noradrenergic bị suy giảm sớm sau CTSN, ảnh hưởng đến sự tỉnh táo, chu kỳ ngủ-thức, sự cảnh giác và nhận thức. Nồng độ norepinephrine (NE) vỏ não giảm, và các thụ thể adrenergic bị thay đổi trong vòng 24 giờ sau chấn thương sọ não. Nghiên cứu cho thấy NE rất quan trọng để chi phối tính mềm dẻo của vỏ não và tạo điều kiện phục hồi sau CTSN. Cả hệ thống dopaminergic và cholinergic đều bị suy giảm mạn tính sau CTSN. Các hệ thống dopaminergic quan trọng đối với trí nhớ và nhận thức, và cholinergic quan trọng đối với sự chú ý, sự nổi bật của nhiệm vụ và nhận thức.

Kinh nghiệm lâm sàng

  • Các quá trình sinh lý bệnh liên quan đến CTSN bao gồm tổn thương nguyên phát, tổn thương thứ phát, thoái hóa, sửa chữa và tái tạo mạn tính.

QUẢN LÝ CHẤN THƯƠNG SỌ NÃO

Chấn thương sọ não nhẹ (Chấn động não)

Ở hầu hết các cá nhân bị mTBI, các triệu chứng (mất trí nhớ, kém tập trung, suy giảm kiểm soát cảm xúc, đau đầu, rối loạn giấc ngủ, mệt mỏi, cáu kỉnh, chóng mặt, trầm cảm, lo âu) sẽ hồi phục nhanh chóng. Hình ảnh thần kinh có vai trò hạn chế trong giai đoạn cấp tính và lâu dài sau mTBI. Xét nghiệm tâm lý thần kinh có thể giúp xác định các di chứng nhận thức và hành vi khu trú kéo dài (>3 tháng sau chấn thương). Các triệu chứng kéo dài sau 3 tháng được hưởng lợi từ chăm sóc nhắm mục tiêu, đặc hiệu cho triệu chứng.

Các vận động viên (và quân nhân) nên hết các triệu chứng sau chấn động trước khi trở lại thi đấu, sử dụng phương pháp phục hồi chức năng tăng dần, từng bước để trở lại thi đấu (RTP) với tối thiểu 1 tuần sau khi các triệu chứng đã hết. Khung thời gian để RTP sẽ thay đổi theo độ tuổi và kinh nghiệm trong môn thể thao.

Đối với trẻ em, nên áp dụng phương pháp từng bước để trở lại trường học, nhấn mạnh vào việc giảm thiểu thời gian nghỉ học để tránh các biến chứng của sự cô lập xã hội, trầm cảm và lo âu. Các điều chỉnh cụ thể theo triệu chứng nên bao gồm nghỉ giải lao thường xuyên, giảm khối lượng công việc, bài tập được sửa đổi, thêm thời gian để hoàn thành bài tập, và giảm kích thích thính giác và thị giác.

Kinh nghiệm lâm sàng

  • Các triệu chứng sau mTBI hồi phục nhanh chóng, và nên áp dụng phương pháp phục hồi chức năng từng bước.

Chấn thương sọ não nặng

QUẢN LÝ NỘI KHOA CẤP TÍNH

Chăm sóc cấp tính cho những người bị CTSN bắt đầu tại hiện trường và giải quyết việc chăm sóc và phân loại trước bệnh viện. Những người bị CTSN nặng nên được vận chuyển trực tiếp đến một trung tâm chấn thương có cơ sở vật chất cung cấp chụp cắt lớp vi tính (CT), phẫu thuật thần kinh 24 giờ và chăm sóc đặc biệt với khả năng theo dõi ICP. Theo dõi ICP là phương pháp chính trong CTSN nặng sau hồi sức, với các phương pháp điều trị để giảm ICP bao gồm mở sọ giải áp, liệu pháp thẩm thấu, dẫn lưu dịch não tủy (CSF), an thần và tăng thông khí ngắn hạn. Theo dõi đa phương thức oxy hóa mô não cũng đã chứng minh lợi ích về kết quả và giảm tỷ lệ tử vong. Các thử nghiệm lâm sàng với corticosteroid và progesterone đã thất bại trong việc chứng minh lợi ích.

Điều trị phẫu thuật CTSN được chỉ định khi có hiệu ứng khối hoặc thoát vị não đe dọa các chức năng sống còn. Mở sọ giải áp để giảm ICP là một can thiệp được chấp nhận, mặc dù tỷ lệ bệnh tật và tử vong chưa được chứng minh. Chỉ định phẫu thuật khác là nâng mảnh sọ lún lớn hơn độ dày của hộp sọ. Các biện pháp khác bao gồm phòng ngừa/quản lý các biến chứng thứ phát và bắt đầu dinh dưỡng sớm.

Đánh giá phục hồi chức năng sớm là một khía cạnh quan trọng của quản lý nội khoa. Đánh giá bao gồm phòng ngừa các biến chứng chỉnh hình và bất động và quản lý các vấn đề nội khoa như kích động, rối loạn thần kinh thực vật và rối loạn ý thức (DOC). Một phương pháp chăm sóc tư vấn có cấu trúc giúp tạo điều kiện chuyển tiếp kịp thời đến phục hồi chức năng nội trú, hỗ trợ các lợi ích phục hồi chức năng một khi được chuyển đi, và giảm các gián đoạn phục hồi chức năng không có kế hoạch và các biến chứng nội khoa trong giai đoạn sau cấp tính.

CÁC PHÉP ĐO SINH LÝ TRONG QUÁ TRÌNH CHĂM SÓC CẤP TÍNH

Điện thế gợi cảm giác thân thể (SSEP) có thể dự đoán sự sống còn và đánh giá hôn mê sau chấn thương và trạng thái thực vật kéo dài trong CTSN nặng. Điện não đồ liên tục (cEEG) có thể phát hiện các dấu hiệu điện sinh lý của sự suy giảm lâm sàng hoặc sự hiện diện của co giật điện não hoặc trạng thái động kinh. Phản xạ đồng tử kém hoặc xấu đi có liên quan đến phù và thoát vị và giúp xác định vị trí tổn thương, tỷ lệ tử vong và kết quả toàn cục. Các dấu ấn sinh học protein trong huyết thanh và CSF có nhiều hứa hẹn nghiên cứu.

HÌNH ẢNH THẦN KINH ĐỂ QUẢN LÝ NỘI KHOA

CT và chụp cộng hưởng từ (MRI) là các phương thức hình ảnh thần kinh để đánh giá tổn thương não ban đầu, theo dõi sự phục hồi và các biến chứng, và tiên lượng.

CT không cản quang là phương thức hình ảnh thần kinh tiêu chuẩn để đánh giá ban đầu trong CTSN trung bình đến nặng. Để đánh giá và tiên lượng DAI và các tổn thương trong các cấu trúc nhỏ (thân não), MRI được ưu tiên hơn. Các chuỗi xung MRI cụ thể như hình ảnh T1 hoặc T2-weighted, FLAIR, gradient echo và hình ảnh nhạy cảm từ tính (susceptibility weighted imaging) có thể có vai trò đối với các chẩn đoán khó khăn.

Quản lý bệnh nhân bị Rối loạn Ý thức (Hộp 43.5)

Phân loại chính xác các cá nhân bị DOC là rất quan trọng để quản lý và tiên lượng thích hợp. Ba trạng thái DOC có thể nhận biết là hôn mê, trạng thái thực vật và trạng thái ý thức tối thiểu, tương ứng với các mức I đến III của Thang đo Mức độ Chức năng Nhận thức Ranchos. Thang đo Ranchos là một công cụ được chấp nhận rộng rãi khác được sử dụng để đánh giá chức năng của bệnh nhân nhằm lập kế hoạch và điều trị phục hồi chức năng. Khám thần kinh kỹ lưỡng cùng với thang điểm đánh giá được chuẩn hóa, chẳng hạn như Thang đo Phục hồi Hôn mê JFK-Sửa đổi, là rất quan trọng. Các điều kiện môi trường và tư thế bệnh nhân phải được tối ưu hóa, và ngừng các loại thuốc an thần để tăng cường phục hồi.

Hiệu quả của các can thiệp như làm giàu cảm giác, cung cấp các kích thích cảm giác đa phương thức và thuốc trong việc cải thiện kết quả DOC là không rõ ràng. Các loại thuốc thường được sử dụng bao gồm thuốc kích thích tâm thần, thuốc chủ vận dopamine (DA) và thuốc chống trầm cảm ba vòng. Amantadine đã được chứng minh là có tác dụng khiêm tốn trong giai đoạn bán cấp đến giai đoạn mạn tính sớm của quá trình phục hồi. Sự thoát khỏi hôn mê nên được theo dõi bằng đánh giá hàng loạt khả năng đáp ứng của bệnh nhân với các kích thích bên ngoài.

Khi một cá nhân thoát khỏi DOC và có thể trả lời các câu hỏi bằng lời nói, sự tiến triển nên được theo dõi thông qua giai đoạn phục hồi PTA bằng cách sử dụng các công cụ như Bài kiểm tra Định hướng và Mất trí nhớ Galveston hoặc Nhật ký Định hướng.

Kinh nghiệm lâm sàng

  • Các cá nhân bị CTSN nặng nên được quản lý tại một trung tâm chấn thương có cơ sở vật chất và chuyên môn cụ thể.
  • Đánh giá phục hồi chức năng sớm là một phần của chăm sóc nội khoa cấp tính sau CTSN nặng.
  • Amantadine đã cho thấy lợi ích trong việc cải thiện sự tỉnh táo trong giai đoạn bán cấp đến giai đoạn mạn tính sớm của quá trình phục hồi cho các cá nhân bị DOC.

PHỤC HỒI CHỨC NĂNG NỘI TRÚ

Phục hồi chức năng nội trú nhằm mục đích hỗ trợ các cá nhân bị CTSN đạt được sự độc lập về chức năng. Đội ngũ đa ngành nên được đào tạo đặc biệt để làm việc với các cá nhân bị CTSN và bao gồm các bác sĩ phục hồi chức năng, nhà vật lý trị liệu, nhà hoạt động trị liệu, nhà bệnh học ngôn ngữ nói, nhà trị liệu giải trí, nhà tâm lý thần kinh, y tá phục hồi chức năng và người quản lý trường hợp.

Đánh giá Phục hồi chức năng nội khoa, Biến chứng và Quản lý

Khám toàn diện, bao gồm đánh giá thần kinh hoàn chỉnh, nên được hoàn thành trong quá trình đánh giá ban đầu tại đơn vị phục hồi chức năng nội trú. Điều này bao gồm khám thể chất, theo dõi hàng loạt mức độ nhận thức, xác định các biến chứng nội khoa và các tổn thương thứ phát liên quan.

CO GIẬT SAU CHẤN THƯƠNG

Co giật sau chấn thương (PTS) chiếm 20% các cơn co giật có triệu chứng và 5% tất cả các cơn co giật trong dân số nói chung. PTS được phân loại là tức thì (<24 giờ sau chấn thương), sớm (24 giờ-7 ngày sau chấn thương) và muộn (>7 ngày sau chấn thương). PTS muộn được gọi là động kinh sau chấn thương (PTE) nếu nó tái phát. Các yếu tố nguy cơ liên quan đến PTE bao gồm các thủ thuật phẫu thuật lấy khối máu tụ, SDH, đụng dập hai bên đỉnh, xuyên màng cứng, lún sọ, lệch đường giữa đáng kể và PTS sớm.

Phenytoin là một loại thuốc chống động kinh (AED) thường được sử dụng để dự phòng sớm chống lại sự phát triển PTS; tuy nhiên, việc sử dụng nó quá 7 ngày sau chấn thương không được hỗ trợ. Các AED khác cũng được sử dụng theo cách này nhưng chưa được nghiên cứu kỹ. Không nên sử dụng AED lâu dài trừ khi có động kinh.

CỐT HÓA LẠC CHỖ (HỘP 43.6)

Cốt hóa lạc chỗ (HO) phổ biến hơn ở những người bị CTSN nặng, bất động, co cứng, gãy xương và rối loạn thần kinh thực vật và có liên quan đến kết quả kém hơn. Các khớp bị ảnh hưởng nhiều nhất là hông và khuỷu tay, tiếp theo là vai, sau đó là gối. Xạ hình xương ba pha có thể xác định HO sớm và không triệu chứng, trong khi chụp X-quang thường quy có thể xác định HO trong các trường hợp nặng hơn. Các dấu ấn máu liên quan đến chuyển hóa xương không đặc hiệu cho HO. Indomethacin, chiếu xạ và etidronate có hiệu quả trong việc ngăn ngừa hình thành HO, nhưng không có bằng chứng nào hỗ trợ điều trị HO cấp tính bằng các tác nhân này.

HUYẾT KHỐI TĨNH MẠCH SÂU

Tỷ lệ huyết khối tĩnh mạch sâu (DVT) ước tính trong CTSN nặng là 40%, với các yếu tố nguy cơ bao gồm tuổi cao, chấn thương nặng, bất động kéo dài, gãy xương đáng kể và sự hiện diện của các rối loạn đông máu. Heparin không phân đoạn hoặc trọng lượng phân tử thấp nên được bắt đầu trong vòng 24 đến 72 giờ sau CTSN nặng để dự phòng sau khi tham khảo ý kiến của đội ngũ chấn thương thần kinh. Ép cơ học kém hiệu quả hơn trong thực hành lâm sàng và phải được sử dụng hàng ngày và có kích thước phù hợp. Thời gian dự phòng DVT trong dân số CTSN chưa được xác định rõ.

NUỐT/DINH DƯỠNG

Nhu cầu calo tăng lên trong giai đoạn sớm sau CTSN trung bình đến nặng, và việc bắt đầu sớm hỗ trợ dinh dưỡng qua đường ruột có thể làm giảm tỷ lệ bệnh tật và tử vong. Mục đích của hỗ trợ dinh dưỡng là bổ sung calo và dinh dưỡng dược phẩm. Việc sử dụng ống thông mũi-dạ dày dựa trên các yếu tố như mức độ ý thức và kích động, và thời gian ước tính cần dinh dưỡng không qua đường miệng. Ống thông dạ dày hoặc hỗng tràng thường được đặt nếu dự kiến cần hỗ trợ dinh dưỡng dài hạn (>3 tuần).

Đánh giá nuốt được bắt đầu khi mức độ tỉnh táo cải thiện và có thể bao gồm đánh giá nuốt tại giường, X-quang tăng sáng truyền hình hoặc nội soi đánh giá nuốt bằng ống mềm qua mũi (FEES). FEES cung cấp hình ảnh giai đoạn hầu của quá trình nuốt từ góc nhìn trên; X-quang tăng sáng truyền hình cung cấp hình ảnh bên của các giai đoạn miệng, hầu và thực quản cổ. Việc bắt đầu dinh dưỡng qua đường miệng được thực hiện theo từng bước.

RỐI LOẠN CHỨC NĂNG RUỘT VÀ BÀNG QUANG

Rối loạn chức năng bàng quang và ruột sớm sau CTSN là phổ biến và là kết quả của tổn thương các cấu trúc vỏ não (trung tâm đi tiểu/đại tiện trán) và dưới vỏ (trung tâm đi tiểu/đại tiện cầu não), với các kiểu hình rối loạn chức năng bàng quang bao gồm bàng quang tăng hoạt không kiểm soát, cảm nhận kém về độ đầy bàng quang và kiểm soát cơ thắt kém. Các lựa chọn quản lý bao gồm điều trị nhiễm trùng đường tiết niệu tiềm ẩn, can thiệp hành vi (đi tiểu theo giờ) và thuốc kháng cholinergic. Thuốc kháng cholinergic có thể ảnh hưởng đến nhận thức và gây táo bón. Sau CTSN, táo bón là phổ biến do suy giảm khả năng vận động thể chất, sử dụng thuốc gây táo bón và ảnh hưởng của chế độ ăn uống. Các chương trình quản lý ruột bao gồm thuốc làm mềm phân, thuốc đạn kích thích và hydrat hóa.

QUẢN LÝ ĐƯỜNG THỞ/PHỔI

Các biến chứng phổi, phổ biến nhất là viêm phổi, sau CTSN là do tác động trực tiếp của chấn thương (tràn khí màng phổi, mảng sườn di động, gãy xương sườn) hoặc các biến chứng thần kinh (suy hô hấp, phù phổi, tổn thương đường thở). Sự hiện diện của suy hô hấp có thể đòi hỏi mở khí quản. Mở khí quản sớm cũng có thể rút ngắn thời gian bắt đầu phục hồi chức năng cấp tính. Việc rút ống mở khí quản được xem xét khi các cá nhân không còn cần thông khí, có thể quản lý tiết dịch của họ và có nguy cơ hít sặc thấp. Quyết định rút ống mở khí quản khó khăn hơn đối với bệnh nhân ở mức độ Thang đo Ranchos I đến III, vì vệ sinh phổi kém và tình trạng hô hấp trung ương thay đổi có thể dẫn đến viêm phổi, nhiễm trùng huyết và tăng tỷ lệ bệnh tật.

CO CỨNG VÀ CO RÚT (HỘP 43.7 VÀ BẢNG 43.8)

Co cứng, sự gia tăng phụ thuộc vào vận tốc trong phản xạ căng cơ trương lực với các phản ứng giật gân cơ quá mức, là một biến chứng phổ biến của tổn thương nơron vận động trên xảy ra trong CTSN. Bất động sau CTSN nặng dẫn đến co ngắn sợi cơ và làm trầm trọng thêm sự phát triển của co rút cơ và khớp, và việc xác định sớm là rất quan trọng. Thang đo Ashworth sửa đổi và Thang đo Tardieu thường được sử dụng để đo mức độ trương lực cơ bất thường thụ động và co cứng, tương ứng.

Điều trị co cứng bao gồm cả các can thiệp không dùng thuốc và dùng thuốc, bao gồm các thiết bị nẹp tĩnh và động, các bài tập tầm vận động thụ động, các phương thức vật lý, kích thích điện và một loạt các tác nhân dược lý đường uống. Dantrolene tác động tại lưới cơ tương bằng cách ức chế hoạt động của canxi, và baclofen ức chế các phản xạ tủy sống tại cả thụ thể GABA-B tiền và hậu synap. Baclofen đường uống có thể gây mệt mỏi, an thần, yếu cơ, ảo giác và hạ thấp ngưỡng co giật, do đó baclofen cũng có thể được đưa vào nội tủy với nguy cơ an thần thấp hơn. Ngừng đột ngột baclofen nội tủy có thể dẫn đến tiêu cơ vân, suy đa cơ quan và tử vong. Các tác nhân đường uống khác cho co cứng bao gồm benzodiazepine, tizanidine và clonidine.

Hủy thần kinh bằng hóa chất khu trú, với phenol và botulinum toxin A và B, là phương pháp điều trị ưu tiên cho co cứng khu trú vì không có tác dụng phụ về nhận thức và tác dụng tức thì.

NÃO ÚNG THỦY ÁP LỰC BÌNH THƯỜNG

Não úng thủy áp lực bình thường là một biến chứng phổ biến, có thể điều trị được, thường được chẩn đoán trong quá trình phục hồi chức năng nội trú. Biểu hiện lâm sàng của não úng thủy cấp tính bao gồm đau đầu, buồn nôn, nôn và lơ mơ; tuy nhiên, biểu hiện có thể tinh tế hơn trong trường hợp biểu hiện muộn. Nên xem xét chẩn đoán não úng thủy muộn đối với những người xấu đi hoặc không tiến triển đầy đủ. Hình ảnh lựa chọn là CT scan sọ não không cản quang, nhưng ở những người bị giãn não thất, việc chẩn đoán não úng thủy có thể cần dẫn lưu CSF (0.5 lít) qua chọc dò tủy sống với đánh giá thần kinh sau thủ thuật, hoặc các nghiên cứu dòng chảy cine MRI.

CƠN TĂNG HOẠT GIAO CẢM KỊCH PHÁT

Cơn tăng hoạt giao cảm kịch phát (PSH) không phổ biến nhưng được đặc trưng bởi các đợt tăng đột ngột không kiểm soát của hoạt động giao cảm và vận động với các dấu hiệu như tăng huyết áp, nhịp tim nhanh, toát mồ hôi, tăng thân nhiệt, thở nhanh, cứng cơ và tư thế loạn trương lực. Thang đo Đánh giá PSH có thể được sử dụng để đánh giá hàng loạt hội chứng. Điều trị tập trung vào quản lý triệu chứng từ việc hạn chế các yếu tố kích hoạt gây ra các đợt đến sử dụng thuốc cho các chiến lược dự phòng và cắt cơn. Sự kết hợp của các loại thuốc, bao gồm thuốc chẹn beta không chọn lọc, bromocriptine, dantrolene, baclofen, gabapentin, thuốc chủ vận alpha-2, benzodiazepine, thuốc hạ sốt, thuốc chống tăng huyết áp và thuốc giảm đau, với các cơ chế tác dụng khác nhau là hiệu quả nhất để ức chế cả dòng ra giao cảm trung ương và xử lý cảm giác hướng tâm.

RỐI LOẠN CHỨC NĂNG NỘI TIẾT LIÊN QUAN ĐẾN CHẤN THƯƠNG SỌ NÃO

Các rối loạn thần kinh-nội tiết có thể ảnh hưởng đến các cá nhân bị CTSN, chủ yếu là những người bị chấn thương nặng. Rối loạn chức năng tuyến yên trước phổ biến nhất trong CTSN cấp tính và tiếp tục kéo dài ở một phần ba bệnh nhân. Các yếu tố nguy cơ bao gồm va chạm xe cơ giới, PTS, xuất huyết nội sọ và đụng dập não. Các hướng dẫn hiện tại khuyến nghị sàng lọc rối loạn chức năng nội tiết trong quá trình nhập viện cấp tính chỉ khi có các dấu hiệu hoặc triệu chứng gợi ý, bao gồm mệt mỏi, yếu cơ, tâm trạng thấp, kém tập trung, giảm cảm giác thèm ăn và/hoặc tăng hoặc giảm cân không giải thích được. Nên sàng lọc thường xuyên rối loạn chức năng tuyến yên 3 đến 6 tháng sau CTSN, và nên chuyển đến chuyên khoa nội tiết nếu có bất kỳ rối loạn nào kéo dài quá 12 tháng.

Những bất thường trong hồ sơ hormone sinh dục huyết thanh, hormone kích thích nang trứng, hormone tạo hoàng thể, hormone vỏ thượng thận, hormone kích thích tuyến giáp, prolactin và hormone tăng trưởng sau CTSN nặng có liên quan đến sự gia tăng phản ứng căng thẳng để đáp ứng với chấn thương. Rối loạn chức năng tuyến yên sau xảy ra không phổ biến sau CTSN, biểu hiện bằng đái tháo nhạt, hội chứng tiết hormone chống bài niệu không thích hợp, hoặc hội chứng mất muối não.

ĐAU ĐẦU SAU CHẤN THƯƠNG

Đau đầu sau chấn thương (PTH), một loại đau đầu thứ phát liên quan đến CTSN, chấn thương cổ hoặc mở sọ, là than phiền phổ biến nhất sau CTSN ở mọi mức độ nặng. PTH được coi là cấp tính trong 3 tháng đầu, sau đó nó được coi là kéo dài. Các chiến lược quản lý tương tự như các loại đau đầu nguyên phát không có CTSN, bao gồm đau đầu migraine và đau đầu kiểu căng thẳng. Sử dụng hàng đầu acetaminophen hoặc thuốc chống viêm không steroid thường hiệu quả, nhưng các tác nhân cấp tính hữu ích khác bao gồm thuốc chủ vận thụ thể serotonin (triptan), dẫn xuất ergot và thuốc chống nôn. Các biến thể PTH biểu hiện dưới dạng đau đầu migraine hoặc đau đầu kiểu căng thẳng nên được điều trị như các loại đau đầu nguyên phát không có CTSN, với các bác sĩ điều chỉnh liệu pháp để giảm thiểu tác dụng phụ lên các lĩnh vực phục hồi khác. Việc lựa chọn điều trị nên xem xét các yếu tố như thời gian từ khi bị chấn thương, tuổi tác, tiền sử đau đầu trước đó, rối loạn chức năng nhận thức/hành vi, rối loạn tâm trạng, trong số những yếu tố khác.

Kinh nghiệm lâm sàng

  • Chăm sóc phục hồi chức năng nội trú được cung cấp bởi một đội ngũ đa ngành gồm các chuyên gia để tạo điều kiện phục hồi trong khi quản lý các vấn đề nội khoa phổ biến thấy sau CTSN nặng.

NHẬN THỨC SAU CHẤN THƯƠNG SỌ NÃO

Các khiếm khuyết nhận thức

Các khiếm khuyết nhận thức trên nhiều lĩnh vực, bao gồm sự tỉnh táo, chú ý, trí nhớ và kiểm soát điều hành, là nguyên nhân chính gây bệnh tật sau CTSN và khó quản lý. Chức năng nhận thức cơ bản nhất, sự tỉnh táo, được điều hòa bởi NE, chi phối bởi các mạng lưới lưới-đồi thị, đồi thị-vỏ não và lưới-vỏ não. Nó có thể tác động đến các lĩnh vực nhận thức khác như chú ý và trí nhớ, và biểu hiện chính của sự giảm tỉnh táo do chấn thương là suy giảm ý thức và DOC.

Sự chú ý được phân bố rộng rãi trong cả đường dẫn truyền vỏ não và dưới vỏ, phần lớn qua trung gian DA, và có thể được vận hành hóa để bao gồm các quá trình cả tự nguyện và không tự nguyện. Chú ý bền vững là khả năng duy trì sự tập trung vào một kích thích cụ thể; chú ý chọn lọc là khả năng hướng các nguồn lực nhận thức để tập trung vào một kích thích cụ thể trong khi lọc bỏ các yếu tố gây xao nhãng. Có sự chồng chéo của các quá trình chú ý với các chức năng nhận thức khác, chẳng hạn như trí nhớ và chức năng điều hành, và do đó nó có thể góp phần vào rối loạn chức năng trong các lĩnh vực nhận thức khác.

Trí nhớ có một đặc điểm giải phẫu rõ ràng (ví dụ, tổn thương hồi hải mã có liên quan đến các khiếm khuyết xử lý trí nhớ không gian và thời gian, học và nhớ tường minh là các quá trình phụ thuộc vào hồi hải mã, và học và nhớ không tường minh là các quá trình độc lập với hồi hải mã). Các mạng lưới học và nhớ không tường minh tương đối còn nguyên vẹn sau CTSN, và chúng có liên quan đến nhiều loại chức năng nhận thức khác. Do đó, khả năng của mạng lưới học và nhớ không tường minh thường được nhắm mục tiêu trong các chương trình huấn luyện nhận thức để tạo điều kiện cải thiện chức năng trong các lĩnh vực khác. Bởi vì hồi hải mã đóng một vai trò trung tâm trong trí nhớ, các hệ thống cholinergic chiếu đến hồi hải mã có liên quan đến rối loạn chức năng trí nhớ. Ngoài ra, vỏ não trước trán (PFC) và hệ thống DA vỏ não-thể vân đều quan trọng như nhau đối với sự hình thành trí nhớ.

Chức năng điều hành thường được định nghĩa là khả năng tổ chức, lập kế hoạch, thực hiện và thay đổi các chức năng nhận thức, nhưng nó cũng được sử dụng khi duy trì thông tin và tạo ra các mục tiêu và khái niệm. Các chiếu xạ DA đến PFC, cùng với các mạng lưới PFC-thể vân, là cần thiết cho chức năng điều hành bình thường.

Điều trị Dược lý Thần kinh Lâm sàng

Các khiếm khuyết nhận thức qua trung gian CTSN có thể được hưởng lợi từ các phương pháp điều trị hệ thống cholinergic, GABAergic, glutamatergic và monoaminergic, mặc dù nghiên cứu còn hạn chế. Methylphenidate (MPH) được chấp nhận rộng rãi là một chất kích thích thần kinh hiệu quả để cải thiện nhận thức (đặc biệt là sự chú ý), với MPH cho thấy sự cải thiện tốc độ xử lý nhận thức bằng cách ngăn chặn sự tái hấp thu DA và NE, sau đó làm tăng nồng độ chất dẫn truyền thần kinh ngoại bào. Amantadine, một chất đối kháng thụ thể glutamate N-methyl-D-aspartate yếu cũng gián tiếp làm tăng giải phóng DA và giảm tái hấp thu DA, có thể tăng cường nhận thức chung và sự chú ý trong CTSN trung bình và nặng. Bromocriptine liều thấp có thể cải thiện chức năng điều hành nhưng không hiệu quả để điều trị các khiếm khuyết chú ý.

Các tác nhân bổ sung cũng có thể ảnh hưởng đến sự tỉnh táo và ý thức, chẳng hạn như thuốc chống trầm cảm ba vòng và thuốc ức chế vận chuyển norepinephrine. Modafinil có thể điều hòa chu kỳ ngủ-thức và cải thiện tình trạng giảm kích thích. Zolpidem có thể tăng kết nối mạch lưới sau CTSN để cải thiện ý thức. CDP-choline có thể cải thiện trí nhớ và chức năng toàn cục ở mọi mức độ nặng của CTSN. Thuốc ức chế cholinesterase có thể cải thiện trí nhớ, sự chú ý và nhận thức tổng thể.

Vai trò của Nhà Tâm lý Thần kinh trong Phục hồi chức năng Nội trú

Các nhà tâm lý thần kinh, những người được đào tạo chuyên sâu về mối quan hệ não-hành vi và chuyên môn trong việc kiểm tra và đánh giá nhận thức, cung cấp đánh giá liên tục về sự phục hồi chức năng nhận thức và làm việc với các nhà trị liệu và nhân viên điều dưỡng để tích hợp thông tin về khả năng và hạn chế nhận thức vào các mục tiêu phục hồi chức năng hiệu quả và phù hợp. Các nhà tâm lý học phục hồi chức năng và nhân viên xã hội tập trung vào việc thích ứng với khuyết tật và các vấn đề cá nhân, xã hội và tình huống khác.

Mục đích của Đánh giá Tâm lý Thần kinh Nội trú

Mục đích của đánh giá tâm lý thần kinh thay đổi trong suốt quá trình phục hồi từ CTSN. Việc bắt đầu đánh giá có thể xảy ra trong giai đoạn đầu của sự thoát khỏi hôn mê. Sau đó, các nhà tâm lý thần kinh thường chịu trách nhiệm đánh giá sự tiến triển của bệnh nhân qua PTA. Xét nghiệm tâm lý thần kinh hữu ích trong việc đánh giá các lĩnh vực chức năng nhận thức được mô tả trước đó. Các công cụ và bộ công cụ ngắn gọn ban đầu được giới thiệu và sau đó áp dụng xét nghiệm tâm lý thần kinh chính thức, mở rộng hơn khi cá nhân ra khỏi PTA. Các biến chứng thứ phát như mất ngôn ngữ, hạn chế nghiêm trọng về khả năng vận động hoặc cảm giác, các vấn đề nội khoa hoặc các vấn đề hành vi có thể hạn chế việc tham gia xét nghiệm. Các bộ xét nghiệm tâm lý thần kinh đầy đủ không được sử dụng cho đến ít nhất 3 tháng sau chấn thương.

Các Can thiệp Thực tế cho Suy giảm Nhận thức Sau Chấn thương Sọ não (Hộp 43.9)

Trong quá trình phục hồi chức năng nội trú, các cá nhân bị CTSN thường vẫn còn trong giai đoạn PTA. Họ biểu hiện lú lẫn, mất định hướng về bản thân, địa điểm, thời gian và hoàn cảnh; có trí nhớ kém và không xử lý và lưu giữ thông tin mới. Do đó, họ có thể từ chối các liệu pháp vì họ gặp khó khăn trong việc ghi nhớ các hướng dẫn nhiều bước trong trị liệu và không thể nhận thức được lợi ích của việc tham gia. Họ có thể đi lang thang hoặc tham gia vào các hành vi không phù hợp, không an toàn và lặp đi lặp lại. Chương trình phục hồi chức năng nên được cấu trúc để hỗ trợ bệnh nhân trong giai đoạn phục hồi này.

Với cấu trúc, bao gồm cung cấp thông tin định hướng trong cuộc trò chuyện, lịch và đồng hồ hàng ngày trong phòng, và nhân viên phục hồi chức năng tự giới thiệu mỗi khi họ tương tác, các cá nhân sẽ học những gì mong đợi từ lịch trình hàng ngày của họ dễ dàng hơn. Thực hành này có thể được ngừng lại khi các cá nhân có thể tự nhận dạng nhân viên một cách độc lập. Nói chung, thông tin về gia đình và lịch sử cá nhân của họ còn nguyên vẹn. Do đó, các nhà trị liệu được khuyên nên sử dụng hình ảnh của những khuôn mặt quen thuộc hoặc bất kỳ chi tiết nào về lịch sử của một cá nhân và kết hợp vào các liệu pháp.

Những cá nhân không nhận thức được khiếm khuyết của họ hoặc bốc đồng có thể phải được bảo vệ thông qua các tương tác trị liệu. Thảo luận bằng lời nói logic thường không hiệu quả, trong khi các chiến lược từng bước có thể được dạy để giảm tính bốc đồng. Những vấn đề này có xu hướng cải thiện theo thời gian, nhưng một số vấn đề quan sát thấy trong môi trường nội trú có thể tiếp tục hiện diện sau khi xuất viện. Gia đình có thể học nhiều thói quen và kỹ thuật trị liệu và áp dụng chúng trong môi trường gia đình.

Kinh nghiệm lâm sàng

  • Các vấn đề nhận thức ảnh hưởng đến nhiều lĩnh vực, bao gồm sự tỉnh táo, chú ý, trí nhớ và kiểm soát điều hành.
  • Các khiếm khuyết chú ý có thể góp phần vào rối loạn chức năng trong các lĩnh vực nhận thức khác.
  • Methylphenidate thường được sử dụng để cải thiện sự chú ý sau CTSN.

CÁC VẤN ĐỀ VỀ HÀNH VI, CẢM XÚC VÀ TÂM TRẠNG

Kích động (Hộp 43.10)

Kích động, được đặc trưng bởi một loạt các hành vi bao gồm hành vi thể chất hoặc lời nói hung hăng, bồn chồn, kém nhận thức và mất kiểm soát, là một giai đoạn phục hồi riêng biệt trong PTA và có thể xảy ra ở gần 50% CTSN trung bình và nặng cấp tính. Kích động thường kéo dài cho đến khi PTA hết và đặt ra những thách thức đáng kể cho nhân viên phục hồi chức năng do không có khả năng tham gia hiệu quả vào các liệu pháp. Kích động sau CTSN nên được xem là một tình trạng nội khoa, và nhân viên nên nhận thức được tình trạng nhận thức của cá nhân. Thang đo Hành vi Kích động là thang đo được sử dụng nhiều nhất sau CTSN để theo dõi sự tiến triển qua quá trình phục hồi và đánh giá hiệu quả của các can thiệp. Thang đo Mức độ Kích động Rõ ràng và Thang đo Đánh giá Hành vi Thần kinh cũng được sử dụng.

Một kế hoạch hành vi cá nhân hóa có thể là phương pháp tiếp cận ban đầu cho chăm sóc kích động, bao gồm quan sát các kiểu hình tiền đề, hành vi và hậu quả của kích động. Nên xác định và giải quyết các nguyên nhân thứ phát gây lú lẫn và kích động, bao gồm nhiễm trùng đường tiết niệu, thuốc, đau, thiếu ngủ và trầm cảm. Ở người lớn tuổi, kích động có thể đại diện cho sự trầm trọng thêm của các hành vi có từ trước liên quan đến sa sút trí tuệ. Các biện pháp hạn chế, bao gồm giường có rào chắn, dây đai an toàn xe lăn buộc phía sau và găng tay mềm, có thể hữu ích để tránh gây hại. Việc có người trông coi một-một với cá nhân cho phép giảm việc sử dụng các biện pháp hạn chế.

Điều trị dược lý cho kích động có thể có lợi, nhưng phải thận trọng khi sử dụng thuốc hướng thần vì tác động tiêu cực của chúng đối với sự phục hồi thần kinh. Thuốc chẹn beta (propranolol) có bằng chứng tốt nhất để sử dụng. Thuốc chống loạn thần không điển hình (quetiapine), mặc dù không bao giờ là thuốc hàng đầu, có thể hiệu quả và được ưu tiên vì hồ sơ tác dụng phụ thuận lợi hơn và tác động nhỏ hơn với tư cách là chất đối kháng thụ thể D2. Benzodiazepine là chất chủ vận thụ thể GABA-A có thể làm giảm các triệu chứng kích động sau CTSN, nhưng việc sử dụng chúng bị hạn chế vì tác động của chúng đối với sự phục hồi nhận thức vì chúng làm tăng cường các hệ thống chất dẫn truyền thần kinh ức chế thần kinh. Sử dụng thận trọng các phương pháp tiếp cận dược lý, hành vi và môi trường là lý tưởng.

Giảm kích thích và Rối loạn giấc ngủ

Giảm kích thích, mệt mỏi và rối loạn giấc ngủ là phổ biến trong giai đoạn cấp tính của CTSN, với các nguyên nhân đa yếu tố bao gồm tổn thương các cấu trúc hoặc các sợi chất trắng kết nối trong các mạng lưới lưới-đồi thị, đồi thị-vỏ não và lưới-vỏ não. Các cá nhân thường than phiền về mệt mỏi và sử dụng các hành vi tìm kiếm nghỉ ngơi như dành quá nhiều thời gian trên giường, ngủ trưa thường xuyên và không hoạt động. Mệt mỏi tinh thần bắt nguồn từ khó khăn trong việc tập trung vào nhiều hơn một nhiệm vụ cùng một lúc hoặc dễ bị phân tâm. Do đó, các cá nhân cần nghỉ giải lao thường xuyên khỏi hoạt động để giảm bớt mệt mỏi. Quản lý bao gồm thuốc kích thích tâm thần, thay đổi lịch trình trị liệu, nghỉ giải lao khi mức độ tỉnh táo thấp, lên lịch trình phù hợp cho các nhiệm vụ nhận thức và hoạt động thể chất.

Các kiểu hình giấc ngủ sau CTSN được đặc trưng bởi giảm giấc ngủ REM và sóng chậm, với tổng thời gian ngủ và hiệu quả giấc ngủ bị xáo trộn. Giấc ngủ bị gián đoạn cũng có thể là kết quả của các phương pháp điều trị dược lý, các tình trạng tâm thần kinh liên quan, kích động, hội chứng cai thuốc, đau, các rối loạn giấc ngủ có từ trước và kích thích quá mức từ môi trường. Các liệu pháp nhận thức-hành vi, bao gồm giáo dục vệ sinh giấc ngủ, có lợi đặc biệt trong CTSN trung bình. Nên giảm thiểu các yếu tố gây gián đoạn giấc ngủ, và nên duy trì nhật ký giấc ngủ. Can thiệp dược lý, chẳng hạn như trazodone, một chất ức chế tái hấp thu 5-HT chọn lọc và chất đối kháng thụ thể 5-HT2, thúc đẩy chu kỳ giấc ngủ tự nhiên bằng cách tăng tổng thời gian ngủ, tăng giấc ngủ sâu và giảm số lần thức giấc không liên tục. Bổ sung melatonin có thể cải thiện sự tỉnh táo ban ngày, và amitriptyline có thể cải thiện thời gian ngủ.

Trầm cảm

Điều trị các vấn đề tâm thần trước chấn thương nên tiếp tục trong quá trình phục hồi chức năng CTSN. Trầm cảm là vấn đề tâm lý phổ biến nhất sau CTSN, với tỷ lệ hiện mắc lên đến 75%. Trầm cảm là đa yếu tố và có tỷ lệ mắc cao nhất trong năm đầu tiên sau chấn thương, nhưng trầm cảm muộn không phải là hiếm. Thuốc điều trị trầm cảm có thể có lợi cho một số người. Các yếu tố nguy cơ đối với trầm cảm sau chấn thương là tình trạng dân tộc thiểu số, thất nghiệp, thu nhập thấp, tiền sử lạm dụng rượu và trình độ học vấn thấp. Các tiêu chí của Cẩm nang Chẩn đoán và Thống kê Rối loạn Tâm thần, Ấn bản thứ Năm, Thang tự đánh giá Trầm cảm Zung, Thang đánh giá Trầm cảm Hamilton và Thang đánh giá Trầm cảm Beck thường được sử dụng sau CTSN.

Rối loạn căng thẳng sau sang chấn

Rối loạn căng thẳng sau sang chấn (PTSD) xảy ra với CTSN ở mọi mức độ nặng và có thể bị điều chỉnh bởi mức độ nặng của chấn thương. Ví dụ, PTSD ít có khả năng xảy ra ở những bệnh nhân bị mất ý thức và mất trí nhớ đáng kể; tuy nhiên, nó có nhiều khả năng xảy ra ở những bệnh nhân mTBI có thể nhớ lại sự kiện chấn thương. Đối với CTSN liên quan đến chiến đấu, cả mTBI và PTSD có thể phổ biến hơn khi tiếp xúc với vụ nổ. Các triệu chứng CTSN, PTSD và đau mạn tính đã được mô tả như một bộ ba lâm sàng dự đoán sự suy giảm và tàn tật kéo dài.

Kinh nghiệm lâm sàng

  • Kích động sau chấn thương là một giai đoạn phục hồi riêng biệt trong thời kỳ mất trí nhớ sau chấn thương.
  • Trầm cảm, giảm kích thích và rối loạn giấc ngủ là phổ biến sau CTSN.

CÁC VẤN ĐỀ KHÁC

Rối loạn chức năng tiền đình

Tỷ lệ chóng mặt và mất thăng bằng sau CTSN có thể xảy ra ở 60% cá nhân và có thể có các nguyên nhân ngoại biên như chóng mặt tư thế kịch phát lành tính và chấn động mê đạo (khởi phát đột ngột mất thính lực và chóng mặt sau CTSN trong trường hợp không có gãy xương thái dương) và chấn thương trực tiếp trung ương đến thân não và/hoặc tiểu não. Chóng mặt và mất thăng bằng với các nguyên nhân ngoại biên có tiên lượng tốt nhất, và trọng tâm của chương trình phục hồi chức năng là giảm các triệu chứng và cho phép hoạt động nhiều hơn. Đối với mất ổn định tư thế, các bài tập để thúc đẩy sự ổn định tư thế tĩnh và động được tiến hành bằng cách điều khiển các tín hiệu thị giác, tiền đình và cảm giác thân thể trong môi trường.

Rối loạn chức năng thị giác/nhận thức

Tổn thương có thể xảy ra đối với dây thần kinh thị giác, vỏ não thị giác, các trung tâm xử lý thị giác, hoặc các dây thần kinh vận nhãn gây ra các triệu chứng liên quan đến thị lực. Các liệt dây thần kinh sọ khác nhau biểu hiện theo những cách khác nhau (ví dụ, liệt dây III gây lác ngoài, sụp mi và giãn đồng tử; liệt dây IV gây khó khăn với sự hội tụ và nghiêng đầu; liệt dây VI liên quan đến nhìn đôi khi nhìn ngang sang bên đó). Đánh giá thần kinh-nhãn khoa có thể hỗ trợ các nhà trị liệu trong việc đánh giá tác động của thị lực lên các hoạt động sinh hoạt hàng ngày và chức năng vận động nhận thức. Các kỹ thuật trị liệu thị lực bao gồm sử dụng lăng kính, các phương pháp điều trị bài tập trên máy tính, phản hồi sinh học và các thiết bị lập thể.

CÁC RỐI LOẠN THOÁI HÓA THẦN KINH TRONG CHẤN THƯƠNG SỌ NÃO MẠN TÍNH

Nghiên cứu về ảnh hưởng lâu dài của CTSN liên quan đến bệnh thoái hóa thần kinh còn hạn chế. Các nghiên cứu đã cho thấy bằng chứng về tình trạng viêm kéo dài, rối loạn chức năng tự miễn, thiếu hụt neurotrophin và các dấu ấn thoái hóa thần kinh sau CTSN, nhưng không rõ liệu những điều này có góp phần vào các rối loạn thoái hóa thần kinh hay không. Một số biến thể di truyền trong các gen (ví dụ, APOE4) có thể có vai trò quan trọng trong tính nhạy cảm sinh học đối với các biến chứng thoái hóa thần kinh muộn sau CTSN. Bệnh não chấn thương mạn tính là một chứng sa sút trí tuệ không phổ biến liên quan đến chấn thương lặp đi lặp lại ở các vận động viên đã nghỉ hưu và quân nhân.

TẬP THỂ DỤC VÀ CHẤN THƯƠNG SỌ NÃO

Tập thể dục và rèn luyện thể chất có thể có tác động tích cực đến tính mềm dẻo thần kinh và phục hồi CTSN trong khi làm chậm quá trình thoái hóa thần kinh. Tập luyện quá sớm sau chấn thương cũng có thể làm xấu đi nhận thức và các triệu chứng liên quan, do đó các chương trình tập thể dục nên được giới thiệu lại dần dần với sự theo dõi chặt chẽ các triệu chứng, chẳng hạn như với Bài kiểm tra Máy chạy bộ Chấn động Buffalo, quy trình máy chạy bộ Blake, hoặc Thang đánh giá gắng sức gắng sức Borg. Sáu tuần hoạt động aerobic ở mức 80% ngưỡng dưới triệu chứng có thể là phương pháp điều trị hiệu quả cho các triệu chứng sau chấn động. Có những thách thức đặc biệt về nhận thức, hành vi và thể chất để thực hiện các chương trình tập thể dục sau CTSN nặng, do đó việc bổ sung các chiến lược phục hồi chức năng nhận thức và hành vi để giải quyết các hạn chế về thể chất là hữu ích. Huấn luyện vận động có thể kết hợp huấn luyện trên máy chạy bộ có hỗ trợ trọng lượng cơ thể và dụng cụ chỉnh hình dáng đi bằng robot.

CHẤN THƯƠNG SỌ NÃO Ở TRẺ EM

CTSN là nguyên nhân hàng đầu gây tử vong và tàn tật ở trẻ em, với 95% trẻ em sống sót, và mức độ nặng được phân loại theo cách tương tự như người lớn. Ở trẻ em dưới 4 tuổi, chấn thương không do tai nạn là phổ biến; ở những trẻ dưới 15 tuổi, té ngã không chủ ý hoặc bị va đập bởi hoặc vào một vật thể là phổ biến; đối với những trẻ từ 15 tuổi trở lên, phổ biến nhất là tai nạn xe cơ giới. Các hoạt động thể thao và giải trí cũng là nguyên nhân phổ biến gây CTSN ở trẻ em.

Tác động của suy giảm hành vi, nhận thức và thể chất đối với sự phát triển liên tục của trẻ em rất khó dự đoán. Trong mTBI, hầu hết trẻ em không có triệu chứng sau 3 tháng kể từ khi bị chấn thương. Các cân nhắc về giáo dục rất quan trọng trong nhóm này, bao gồm thời điểm trở lại trường học. Trẻ em bị CTSN trung bình đến nặng có nhiều khả năng bị tàn tật lâu dài, với các vấn đề về hành vi và nhận thức là phổ biến nhất, mặc dù các suy giảm có thể không rõ ràng cho đến rất lâu sau chấn thương ban đầu.

Các yếu tố dự đoán lâm sàng cho CTSN ở trẻ em tương tự như những yếu tố được sử dụng ở người lớn, với số ngày PTA, GCS ban đầu và số ngày để đạt GCS 15 là những yếu tố dự đoán kết quả tốt nhất. Khi phân tầng theo độ tuổi, tuổi lớn hơn 2 thường cho thấy kết quả chức năng tốt hơn. Bài kiểm tra Định hướng và Mất trí nhớ của Trẻ em là một công cụ nhi khoa đã được xác nhận để đo PTA ở trẻ em dưới 15 tuổi.

Bằng chứng ủng hộ việc điều trị tại một trung tâm chấn thương có trình độ chuyên môn bổ sung để điều trị bệnh nhân nhi. Trong các hướng dẫn gần đây nhất, hạ thân nhiệt vừa phải, bolus nước muối ưu trương và dẫn lưu CSF qua ống dẫn lưu ngoài não thất được đề xuất là phương pháp điều trị để kiểm soát ICP. Trong các trường hợp kháng trị, barbiturat và mở sọ giải áp là những lựa chọn tiềm năng. Để giảm tỷ lệ mắc PTS sớm, nên dùng thuốc chống động kinh dự phòng.

CTSN ở trẻ em có một số biến chứng nội khoa khác biệt so với loại ở người lớn. Thiếu hụt hormone tăng trưởng là bất thường nội tiết phổ biến nhất sau CTSN ở trẻ em, và suy giáp và suy sinh dục là những bất thường có nhiều khả năng tồn tại vĩnh viễn nhất. Nên sàng lọc trục tuyến yên từ 6 đến 12 tháng sau chấn thương và hàng năm sau đó nếu phát hiện rối loạn chức năng. Hung hăng, hành vi thích ứng kém và giảm tham gia xã hội thường được báo cáo.

Rối loạn chú ý và tỉnh táo cũng thường thấy sau CTSN ở trẻ em. Các khiếm khuyết chú ý được quản lý bằng các can thiệp hành vi và thuốc kích thích thần kinh. Rối loạn tâm trạng, bao gồm trầm cảm và lo âu, cũng phổ biến trong 6 đến 12 tháng đầu sau CTSN ở trẻ em.

Chức năng xã hội thường bị tổn hại trong CTSN ở trẻ em, với rối loạn chức năng xã hội lâu dài phổ biến nhất sau CTSN nặng. Chức năng xã hội là một yếu tố dự đoán quan trọng về chất lượng cuộc sống sau CTSN ở trẻ em, với việc duy trì hòa nhập xã hội quan trọng hơn thành công ở trường học hoặc thể thao, do đó nên giải quyết vấn đề hòa nhập xã hội. Nên thực hiện kiểm tra tâm lý thần kinh hàng loạt và hỗ trợ giáo dục cho trẻ em bị CTSN. Các khiếm khuyết trong các lĩnh vực trí thông minh, kết quả học tập, trí nhớ, giải quyết vấn đề và hiệu suất vận động rõ ràng sau 1 năm kể từ khi bị chấn thương nặng, và những khiếm khuyết này kéo dài hơn 3 năm sau chấn thương.

Kinh nghiệm lâm sàng

  • CTSN ở trẻ em có thể có các vấn đề nội khoa khác biệt so với người lớn như rối loạn thần kinh-nội tiết.
  • Những người bị chấn thương trung bình đến nặng cũng có nhiều khả năng bị tàn tật lâu dài, mặc dù các suy giảm có thể không rõ ràng cho đến rất lâu sau chấn thương ban đầu.
  • Cần hỗ trợ giáo dục liên tục, với mục tiêu duy trì và cải thiện hòa nhập xã hội và trở lại trường học và thể thao.

CÁC CHỈ SỐ TIÊN LƯỢNG KẾT QUẢ CẤP TÍNH

Giới tính nữ, tuổi cao, nạn nhân của chấn thương có chủ ý, sử dụng rượu và sử dụng chất gây nghiện bất hợp pháp là các yếu tố nguy cơ nhân khẩu học và xã hội cho kết quả xấu hơn. Điểm Chấn thương Sửa đổi, GCS, thời gian hôn mê, thời gian PTA, phẫu thuật mở sọ hoặc khoan sọ trong quá trình chăm sóc cấp tính, giá trị ICP và CPP, DAI, SAH do chấn thương, SSEP và các đặc điểm EEG là các yếu tố nguy cơ lâm sàng cho kết quả xấu hơn.

Các dấu ấn sinh học (tức là, các phân tử sinh học trong dịch sinh học và các gen liên quan đến kết quả và tính nhạy cảm sinh học đối với các biến chứng) đang được nghiên cứu ngày càng nhiều, nhưng không có dấu ấn nào được xác định rõ ràng liên quan đến kết quả. Nồng độ S100b huyết thanh, nồng độ protein cơ bản myelin và enolase đặc hiệu cho nơron tăng cao cho thấy tổn thương không hồi phục của tế bào hình sao, sợi trục và nơron, tương ứng. Hầu hết các dấu ấn sinh học của CNS được tìm thấy trong huyết thanh trong giai đoạn cấp tính của CTSN, nhưng tải lượng viêm này có thể vẫn tăng cao trong nhiều năm sau chấn thương.

Alen APOE4 đã được nghiên cứu rộng rãi với nguy cơ mắc bệnh Alzheimer sau CTSN; tuy nhiên, kết quả còn mâu thuẫn, với một số nghiên cứu cho thấy không có mối liên quan trong khi những nghiên cứu khác liên kết APOE4 với kết quả nhận thức kém hơn.

CÁC PHƯƠNG THỨC HÌNH ẢNH THẦN KINH TRONG NGHIÊN CỨU CHẤN THƯƠNG SỌ NÃO (HÌNH 43.11)

Các phương thức hình ảnh thần kinh tiên tiến được áp dụng phổ biến nhất sau CTSN là MRI chức năng, một phương pháp tiếp cận chức năng, và hình ảnh khuếch tán tensor, một phương pháp tiếp cận cấu trúc. Hình ảnh chức năng thường được kết hợp với hình ảnh cấu trúc để cải thiện đánh giá về huyết động học, khuếch tán hoặc chuyển hóa với độ đặc hiệu giải phẫu.

CÁC CÔNG CỤ ĐÁNH GIÁ KẾT QUẢ CHẤN THƯƠNG SỌ NÃO

Nhiều thang đo kết quả có sẵn để theo dõi sự tiến triển sau CTSN, và những thang đo này phản ánh các khía cạnh khác nhau của chức năng. Các phép đo kết quả toàn cục và chức năng đặc hiệu cho CTSN là Thang đo Mức độ Độc lập Chức năng (FIM) và Thang đo Đánh giá Chức năng (FAM). Thang đo Kết quả Glasgow Mở rộng là một phiên bản mở rộng của GOS được sử dụng để đo lường sự phục hồi và kết quả. Thang đo Đánh giá Mức độ Tàn tật thường được sử dụng để đánh giá các cá nhân từ hôn mê đến tái hòa nhập cộng đồng. Chất lượng cuộc sống thường được đo lường, và những đánh giá liên quan đến sức khỏe phổ biến này bao gồm Khảo sát Sức khỏe Dạng ngắn 36 Mục của Nghiên cứu Kết quả nội khoa, Hồ sơ Tác động Bệnh tật-5, và Bảng câu hỏi Sức khỏe Tổng quát. Các công cụ phổ biến được sử dụng để đo lường sự hòa nhập cộng đồng là Bảng câu hỏi Hòa nhập Cộng đồng, Kỹ thuật Đánh giá và Báo cáo Bệnh viện Craig, và Thang đo Hòa nhập Cộng đồng.

CÁC DỊCH VỤ KHÁC

Có các chương trình để cải thiện kết quả CTSN và tăng chất lượng cuộc sống cảm nhận của một cá nhân, hòa nhập xã hội trong cộng đồng, và các hoạt động tại nhà và giải trí. Các chương trình phục hồi chức năng nghề nghiệp có thể cung cấp các dịch vụ hướng nghiệp hoặc giới thiệu khách hàng đến các cơ quan và chương trình khác hỗ trợ các cá nhân khuyết tật. Người chăm sóc của các cá nhân CTSN nên được cung cấp giáo dục và các liên kết đến các dịch vụ hỗ trợ tài nguyên cộng đồng (ví dụ: các chương trình hỗ trợ, hội thảo và chuyên đề, dịch vụ nội khoa tại nhà hoặc các chương trình nghỉ ngơi tạm thời). Có sẵn chương trình đánh giá và đào tạo lái xe chính thức để trở lại lái xe sau CTSN. Các dịch vụ cộng đồng có sẵn để hỗ trợ các cá nhân CTSN và các thành viên gia đình hoặc người chăm sóc để tái hòa nhập cộng đồng. Hệ thống chăm sóc đa chấn thương của Bộ Cựu chiến binh và Trung tâm Xuất sắc về CTSN của quân đội, Trung tâm Chấn thương Sọ não Quốc phòng và Cựu chiến binh cung cấp các nguồn lực và dịch vụ cho quân nhân và cựu chiến binh trong cộng đồng.

PHÒNG NGỪA

Phòng ngừa CTSN nguyên phát tập trung vào việc phòng ngừa chấn thương thông qua chính sách và pháp luật. Phòng ngừa thứ phát tập trung vào việc giảm tác hại của chấn thương sọ não trong khi chúng xảy ra, chẳng hạn như sử dụng mũ bảo hiểm cho người đi xe máy và vận động viên, dây an toàn, túi khí và những tiến bộ mới trong điều khiển ô tô giúp giảm tác hại khi bị thương. Phòng ngừa cấp ba tập trung vào việc giảm hậu quả của chấn thương và trở lại mức độ chức năng tối ưu trong giới hạn do chấn thương của họ đối với những người đã bị thương thông qua các can thiệp phục hồi chức năng.

Kinh nghiệm lâm sàng

  • Thang đo Kết quả Glasgow Mở rộng được sử dụng rộng rãi để đo lường sự phục hồi và kết quả.
  • Thang đo Đánh giá Mức độ Tàn tật thường được sử dụng để đánh giá các cá nhân từ hôn mê đến tái hòa nhập cộng đồng.

 

Bảng 43.1 Thang đo Hôn mê Glasgow

Phản ứng Tiêu chí Điểm
Mắt Mở tự nhiên 4
Mở khi gọi 3
Mở khi đau 2
Không đáp ứng 1
Lời nói Định hướng và trò chuyện 5
Mất định hướng và trò chuyện 4
Từ không phù hợp 3
Âm thanh khó hiểu 2
Không đáp ứng 1
Vận động Tuân theo mệnh lệnh 6
Đáp ứng với kích thích đau bằng cách định vị mục tiêu 5
Đáp ứng với kích thích đau bằng cách co rút 4
Đáp ứng với kích thích đau bằng tư thế gấp cứng 3
Đáp ứng với kích thích đau bằng tư thế duỗi cứng 2
Không đáp ứng với kích thích 1

Từ Teasdale G, Jennett B: Assessment of coma and impaired consciousness. A practical scale, Lancet 2:81-84, 1974.

 

Hình 43.2 Mô tả sự tiếp diễn phức tạp của tổn thương và sửa chữa sau chấn thương sọ não Tổn thương nguyên phát phá vỡ mô não và khởi phát các chuỗi tổn thương thứ phát dẫn đến rối loạn chức năng và chết tế bào. Các cơ chế bảo vệ thần kinh và sửa chữa thần kinh sau chấn thương góp phần vào quá trình thoái hóa, sửa chữa và tái tạo mạn tính.

 

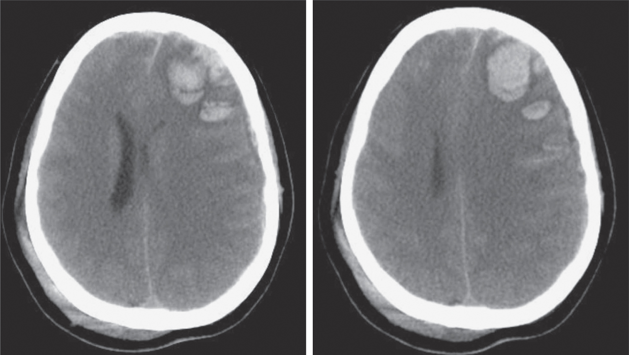
Hình 43.3 Hình ảnh CT scan cho thấy đụng dập xuất huyết gây lệch đường giữa (Amy K. Wagner, Kevin Franzese, Justin L. Weppner, Christina Kwasnica, Gary N. Galang, Jason Edinger, Mark Linsenmeyer. Chapter 43 Traumatic Brain Injury, Editor(s): David X. Cifu, Braddom’s Physical Medicine and Rehabilitation (Sixth Edition), Elsevier, 2021, Pages 916-953.e19, ISBN 9780323625395.)

 

Hình 43.4 Hình ảnh CT scan cho thấy tổn thương sợi trục lan tỏa (DAI) sau khi bệnh nhân bị chấn thương sọ não nặng Mặc dù thường khó nhìn thấy trên CT scan, DAI dẫn đến các tổn thương lan rộng trong các đường dẫn chất trắng và có thể được nhận thấy khi các xuất huyết nhỏ hình thành gần các sợi trục bị cắt đứt.

Bảng 43.5 Thang đo Mức độ Chức năng Nhận thức Ranchos

Điểm Mô tả
(1) Mức I-Không Đáp ứng: Hỗ trợ Toàn bộ Bệnh nhân không đáp ứng với các kích thích bên ngoài và có vẻ như đang ngủ.
(2) Mức II-Đáp ứng Toàn thể: Hỗ trợ Toàn bộ Bệnh nhân phản ứng với các kích thích bên ngoài một cách không đặc hiệu, không nhất quán và không có mục đích với các phản ứng rập khuôn và hạn chế.
(3) Mức III-Đáp ứng Khu trú: Hỗ trợ Toàn bộ Bệnh nhân đáp ứng đặc hiệu và không nhất quán với sự chậm trễ đối với các kích thích nhưng có thể tuân theo các lệnh đơn giản cho hành động vận động.
(4) Mức IV-Lú lẫn, Đáp ứng Kích động: Hỗ trợ Tối đa Bệnh nhân biểu hiện các hành vi kỳ quái, không mục đích, không mạch lạc hoặc không phù hợp; không có trí nhớ ngắn hạn; và sự chú ý ngắn và không chọn lọc.
(5) Mức V-Lú lẫn, Không phù hợp, Đáp ứng Không kích động: Hỗ trợ Tối đa Bệnh nhân đưa ra các phản ứng ngẫu nhiên, rời rạc và không có mục đích đối với các kích thích phức tạp hoặc không có cấu trúc. Các lệnh đơn giản được tuân theo một cách nhất quán, trí nhớ và sự chú ý chọn lọc bị suy giảm, và thông tin mới không được lưu giữ.
(6) Mức VI-Lú lẫn, Đáp ứng Phù hợp: Hỗ trợ Trung bình Bệnh nhân đưa ra các phản ứng phù hợp với ngữ cảnh, hướng đến mục tiêu, phụ thuộc vào đầu vào bên ngoài để định hướng. Có sự chuyển tiếp cho việc học lại, nhưng không phải cho các nhiệm vụ mới, và các vấn đề về trí nhớ gần đây vẫn tồn tại.
(7) Mức VII-Tự động, Đáp ứng Phù hợp: Hỗ trợ Tối thiểu cho Kỹ năng Sinh hoạt Hàng ngày Bệnh nhân cư xử phù hợp trong các môi trường quen thuộc, thực hiện các thói quen hàng ngày một cách tự động, và cho thấy sự chuyển tiếp cho việc học mới với tốc độ thấp hơn bình thường. Bệnh nhân bắt đầu các tương tác xã hội, nhưng khả năng phán đoán vẫn bị suy giảm.
(8) Mức VIII-Có mục đích, Phù hợp: Hỗ trợ Chờ sẵn Bệnh nhân định hướng và đáp ứng với môi trường nhưng khả năng suy luận trừu tượng bị giảm so với mức độ trước bệnh. Có thể sử dụng các thiết bị trợ giúp để hỗ trợ các khiếm khuyết trí nhớ. Nhận thức rõ hơn về các khiếm khuyết.
(9) Mức IX-Có mục đích, Phù hợp: Hỗ trợ Chờ sẵn theo Yêu cầu Bệnh nhân có thể làm việc để hoàn thành các nhiệm vụ không quen thuộc, sử dụng các thiết bị trợ giúp cho trí nhớ một cách độc lập hơn. Tăng tính độc lập với việc giải quyết vấn đề. Có khả năng tự theo dõi các tương tác xã hội và hậu quả của các hành động.
(10) Mức X-Có mục đích, Phù hợp: Độc lập có Điều chỉnh Bệnh nhân có khả năng đa nhiệm và thực hiện các nhiệm vụ công việc và giải trí một cách độc lập trong mọi môi trường nhưng có thể cần nghỉ giải lao định kỳ. Chủ động trong việc quản lý các tác động của khuyết tật và hậu quả của các quyết định. Nhận thức và tương tác xã hội phù hợp.

 

Hình 43.6 Cốt hóa lạc chỗ Các phim X-quang nghiêng (A) và trước-sau (B) mô tả sự hình thành xương lạc chỗ sau chấn thương sọ não ở khuỷu tay của bệnh nhân sau khi sửa chữa gãy xương.

 

Hộp 43.7 Thang đo Ashworth sửa đổi

Điểm Mô tả
0 Không tăng trương lực cơ
1 Tăng nhẹ trương lực cơ biểu hiện bằng dấu hiệu bắt và thả ở cuối tầm vận động
1+ Tăng nhẹ trương lực cơ, biểu hiện bằng dấu hiệu bắt Theo sau là kháng trở tối thiểu trong phần còn lại của tầm vận động
2 Tăng trương lực rõ rệt hơn, trong hầu hết tầm vận động nhưng khớp dễ dàng di chuyển
3 Tăng đáng kể trương lực cơ, vận động thụ động khó khăn
4 Phần bị ảnh hưởng cứng ở tư thế gấp hoặc duỗi

 

Bảng 43.8 Thang đo Tardieu

Điểm Mô tả
0 Không có kháng trở trong suốt quá trình vận động thụ động
1 Kháng trở nhẹ trong suốt quá trình vận động thụ động không có dấu hiệu bắt rõ ràng ở một góc chính xác
2 Dấu hiệu bắt rõ ràng ở một góc chính xác, làm gián đoạn vận động thụ động theo sau là sự thả lỏng
3 Rung giật mỏi, dưới 10 giây khi duy trì áp lực, xuất hiện ở một góc chính xác
4 Rung giật không mỏi, hơn 10 giây khi duy trì áp lực, ở một góc chính xác

 

Bảng 43.9 Các Can thiệp Môi trường và Nhận thức Hữu ích khi Làm việc với Người bị Chấn thương Sọ não

Trong Giai đoạn Phục hồi Sớm, Khi Người bị Chấn thương Sọ não Lú lẫn và Gặp khó khăn trong việc Ghi nhớ Thông tin Mới Để Giảm Kích thích Quá mức ở Người có Khả năng Cao có Hành vi Cáu kỉnh hoặc Kích động Để Tăng cường An toàn ở Người Bốc đồng, ví dụ: Bệnh nhân Di chuyển Nhanh và Không an toàn và Cố gắng Làm những việc Họ Không có Khả năng Tự làm
Tự giới thiệu và giới thiệu lại, ngay cả khi họ đã làm điều đó sớm hơn trong ngày hoặc tuần. Hạn chế sự phân tâm và tiếng ồn xung quanh bệnh nhân khi cần thiết (chuyển điều trị đến một địa điểm yên tĩnh, giảm ánh sáng, giảm tiếng ồn như tivi và radio, hạn chế số người nói chuyện và tương tác với người đó cùng một lúc). Đảm bảo thu hút sự chú ý của bệnh nhân trước khi bạn nói.
Cung cấp sự nhất quán và cấu trúc (lý tưởng nhất là một lịch trình nhất quán với nhân viên nhất quán). Chia nhỏ các nhiệm vụ khó thành các bước nhỏ hơn và đưa ra các hướng dẫn đơn giản, từng bước. Nói chậm, rõ ràng và nhẹ nhàng, sử dụng tên bệnh nhân thường xuyên để giữ sự chú ý của họ.
Cung cấp thông tin định hướng thường xuyên. Linh hoạt. Chuyển hướng bệnh nhân khi họ trở nên thất vọng với một hoạt động, cho phép nghỉ giải lao và các hoạt động thay thế khi cần thiết. Sử dụng minh họa ngoài hướng dẫn bằng lời nói khi có thể.
Sử dụng các câu đơn giản, ngắn gọn và không cung cấp quá nhiều thông tin cùng một lúc. Giữ bình tĩnh trong các tương tác và nói một cách rõ ràng, súc tích, sử dụng âm lượng nhỏ và giọng điệu nhẹ nhàng. Thúc đẩy giao tiếp nhóm và gia đình để sử dụng các chiến lược nhất quán.
Gợi ý cho bệnh nhân khi cần thiết, cung cấp một số định hướng và hướng dẫn. Ghi nhớ các vấn đề như đau và mệt mỏi, và điều trị khi cần thiết.
Cung cấp thêm thời gian và sự lặp lại khi cần thiết.

 

Hộp 43.10 Thang đo Hành vi Kích động

Hành vi Điểm
1. Khoảng chú ý ngắn, dễ phân tâm, không có khả năng tập trung.
2. Bốc đồng, thiếu kiên nhẫn, khả năng chịu đau hoặc thất vọng thấp
3. Không hợp tác, chống đối chăm sóc, đòi hỏi.
4. Bạo lực hoặc đe dọa bạo lực đối với người hoặc tài sản.
5. Hành vi bùng nổ và/hoặc khó đoán.
6. Đung đưa, cọ xát, rên rỉ, hoặc hành vi tự kích thích khác
7. Kéo ống, dây trói, v.v.
8. Đi lang thang khỏi khu vực điều trị
9. Bồn chồn, đi đi lại lại, vận động quá mức
10. Các hành vi lặp đi lặp lại, vận động và/hoặc lời nói.
11. Nói nhanh, to hoặc quá nhiều.
12. Thay đổi tâm trạng đột ngột.
13. Dễ bắt đầu hoặc nói quá nhiều.
14. Tự ngược đãi về thể chất và/hoặc lời nói
Tổng điểm:

Chú giải điểm:

  • 1 = vắng mặt: hành vi không hiện diện
  • 2 = hiện diện ở mức độ nhẹ: hành vi hiện diện nhưng không ngăn cản việc thực hiện hành vi khác, phù hợp với ngữ cảnh (Cá nhân có thể tự chuyển hướng hoặc việc tiếp tục hành vi kích động không làm gián đoạn hành vi phù hợp.)
  • 3 = hiện diện ở mức độ trung bình: cá nhân cần được chuyển hướng từ hành vi kích động sang hành vi phù hợp, nhưng được hưởng lợi từ việc gợi ý như vậy
  • 4 = hiện diện ở mức độ cực đoan: cá nhân không thể tham gia vào hành vi phù hợp vì sự can thiệp của hành vi kích động, ngay cả khi được cung cấp gợi ý hoặc chuyển hướng từ bên ngoài

 

Hình 43.11 Ví dụ về Sự khác biệt trong Kích hoạt MRI Chức năng được Quan sát trong Mẫu Đối tượng bị Chấn thương Sọ não và Nhóm chứng Khỏe mạnh trong Nhiệm vụ Trí nhớ Làm việc Bằng lời nói

Bảng chú giải thuật ngữ Y học Anh – Việt (Chương 43)

STT Thuật ngữ tiếng Anh Phiên âm IPA Nghĩa Tiếng Việt
1 Traumatic Brain Injury (TBI) /trɔːˈmætɪk breɪn ˈɪndʒəri/ Chấn thương sọ não (CTSN)
2 Glasgow Coma Scale (GCS) /ˈɡlæzɡoʊ ˈkoʊmə skeɪl/ Thang đo Hôn mê Glasgow
3 Unconsciousness /ʌnˈkɒnʃəsnəs/ Bất tỉnh
4 Coma /ˈkoʊmə/ Hôn mê
5 Posttraumatic amnesia (PTA) /ˌpoʊsttrɔːˈmætɪk æmˈniːziə/ Mất trí nhớ sau chấn thương
6 Pathophysiological Process /ˌpæθoʊˌfɪziəˈlɒdʒɪkl ˈprɒsɛs/ Quá trình sinh lý bệnh
7 Primary injury /ˈpraɪməri ˈɪndʒəri/ Tổn thương nguyên phát
8 Diffuse axonal injuries (DAI) /dɪˈfjuːs ækˈsɒnl ˈɪndʒəriz/ Tổn thương sợi trục lan tỏa
9 Contusion /kənˈtjuːʒən/ Đụng dập
10 Coup injury /kuː ˈɪndʒəri/ Tổn thương tại chỗ (do va đập trực tiếp)
11 Contracoup injury /ˈkɒntrəkuː ˈɪndʒəri/ Tổn thương đối bên (do dội lại)
12 Epidural hematomas /ˌɛpɪˈdjʊərəl ˌhiːməˈtoʊməz/ Tụ máu ngoài màng cứng
13 Subdural hematomas (SDH) /sʌbˈdjʊərəl ˌhiːməˈtoʊməz/ Tụ máu dưới màng cứng
14 Subarachnoid hemorrhage (SAH) /ˌsʌbəˈræknɔɪd ˈhɛmərɪdʒ/ Xuất huyết dưới nhện
15 Secondary injury /ˈsɛkəndəri ˈɪndʒəri/ Tổn thương thứ phát
16 Neurochemicals /ˌnjʊəroʊˈkɛmɪklz/ Chất dẫn truyền thần kinh/hóa chất thần kinh
17 Cerebral edema /ˈsɛrəbrəl ɪˈdiːmə/ Phù não
18 Intracranial pressure (ICP) /ˌɪntrəˈkreɪniəl ˈprɛʃər/ Áp lực nội sọ
19 Mitochondrial dysfunction /ˌmaɪtəˈkɒndriəl dɪsˈfʌŋkʃən/ Rối loạn chức năng ty thể
20 Cellular necrosis /ˈsɛljələr nəˈkroʊsɪs/ Hoại tử tế bào
21 Apoptosis /ˌæpəpˈtoʊsɪs/ Chết tế bào theo chương trình
22 Chronic degeneration /ˈkrɒnɪk dɪˌdʒɛnəˈreɪʃən/ Thoái hóa mạn tính
23 Neurotransmitter deficits /ˌnjʊəroʊtrænsˈmɪtər ˈdɛfɪsɪts/ Thiếu hụt chất dẫn truyền thần kinh
24 Diaschisis /daɪˈæskɪsɪs/ Mất kết nối thần kinh (hiện tượng suy giảm chức năng ở vùng não xa tổn thương)
25 Mild TBI (mTBI) /maɪld tiː biː aɪ/ Chấn thương sọ não nhẹ
26 Confusion /kənˈfjuːʒən/ Lú lẫn
27 Disorientation /dɪsˌɔːriɛnˈteɪʃən/ Mất định hướng
28 Loss of consciousness (LOC) /lɒs əv ˈkɒnʃəsnəs/ Mất ý thức
29 Transient focal neurologic abnormalities /ˈtrænziənt ˈfoʊkl ˌnjʊərəˈlɒdʒɪk ˌæbnɔːrˈmælɪtiz/ Các bất thường thần kinh khu trú thoáng qua
30 JFK Coma Recovery Scale-Revised /ˌdʒeɪ ɛf keɪ ˈkoʊmə rɪˈkʌvəri skeɪl rɪˈvaɪzd/ Thang đo Phục hồi Hôn mê JFK – Sửa đổi
31 Disorder of consciousness (DOC) /dɪsˈɔːrdər əv ˈkɒnʃəsnəs/ Rối loạn ý thức
32 Vegetative state /ˈvɛdʒɪtətɪv steɪt/ Trạng thái thực vật
33 Minimally conscious state (MCS) /ˈmɪnɪməli ˈkɒnʃəs steɪt/ Trạng thái ý thức tối thiểu
34 Interrater reliability /ˌɪntərˈreɪtər rɪˌlaɪəˈbɪlɪti/ Độ tin cậy giữa những người đánh giá
35 Test-retest reliability /tɛst ˈriːtɛst rɪˌlaɪəˈbɪlɪti/ Độ tin cậy kiểm tra-kiểm tra lại
36 Inpatient Rehabilitation /ˈɪnˌpeɪʃənt ˌriːhəˌbɪlɪˈteɪʃən/ Phục hồi chức năng nội trú
37 Functional independence /ˈfʌŋkʃənl ˌɪndɪˈpɛndəns/ Độc lập về chức năng
38 Medical rehabilitation evaluation /ˈmɛdɪkl ˌriːhəˌbɪlɪˈteɪʃən ɪˌvæljuˈeɪʃən/ Đánh giá phục hồi chức năng nội khoa
39 Physical examination /ˈfɪzɪkl ɪɡˌzæmɪˈneɪʃən/ Khám thể chất
40 Neurologic examination /ˌnjʊərəˈlɒdʒɪk ɪɡˌzæmɪˈneɪʃən/ Khám thần kinh
41 Cognitive function /ˈkɒɡnɪtɪv ˈfʌŋkʃən/ Chức năng nhận thức
42 Behavioral recovery /bɪˈheɪvjərəl rɪˈkʌvəri/ Phục hồi hành vi
43 Sleep disorders /sliːp dɪsˈɔːrdərz/ Rối loạn giấc ngủ
44 Depression /dɪˈprɛʃən/ Trầm cảm
45 Anxiety /æŋˈzaɪəti/ Lo âu
46 Posttraumatic stress disorder (PTSD) /ˌpoʊsttrɔːˈmætɪk strɛs dɪsˈɔːrdər/ Rối loạn căng thẳng sau sang chấn
47 Hypoarousal /ˌhaɪpoʊəˈraʊzəl/ Giảm kích thích/tỉnh táo
48 Fatigue /fəˈtiːɡ/ Mệt mỏi
49 Cognitive impairment /ˈkɒɡnɪtɪv ɪmˈpɛərmənt/ Suy giảm nhận thức
50 Neuropsychological testing /ˌnjʊəroʊˌsaɪkəˈlɒdʒɪkl ˈtɛstɪŋ/ Kiểm tra tâm lý thần kinh
51 Cognitive training /ˈkɒɡnɪtɪv ˈtreɪnɪŋ/ Huấn luyện nhận thức
52 Environmental strategies /ɪnˌvaɪərənˈmɛntl ˈstrætədʒiz/ Chiến lược môi trường
53 Behavioral strategies /bɪˈheɪvjərəl ˈstrætədʒiz/ Chiến lược hành vi
54 Pharmacologic treatment /ˌfɑːrməkəˈlɒdʒɪk ˈtriːtmənt/ Điều trị dược lý
55 Agitation /ˌædʒɪˈteɪʃən/ Kích động
56 Antecedents /ˌæntɪˈsiːdənts/ Tiền đề (yếu tố báo trước)
57 Consequences /ˈkɒnsɪkwənsɪz/ Hậu quả
58 Environmental modifications /ɪnˌvaɪərənˈmɛntl ˌmɒdɪfɪˈkeɪʃənz/ Điều chỉnh môi trường
59 Pediatric TBI /ˌpiːdiˈætrɪk tiː biː aɪ/ Chấn thương sọ não ở trẻ em
60 Selective vulnerability /sɪˈlɛktɪv ˌvʌlnərəˈbɪlɪti/ Tính dễ bị tổn thương chọn lọc
61 Nonaccidental traumas /ˌnɒnˌæksɪˈdɛntl ˈtrɔːməz/ Chấn thương không do tai nạn (lạm dụng)
62 Endocrine disorders /ˈɛndoʊkrɪn dɪsˈɔːrdərz/ Rối loạn nội tiết
63 Academic performance /ˌækəˈdɛmɪk pərˈfɔːrməns/ Kết quả học tập
64 Family distress /ˈfæməli dɪˈstrɛs/ Căng thẳng gia đình
65 Acquired injuries /əˈkwaɪərd ˈɪndʒəriz/ Tổn thương mắc phải
66 Epidemiology /ˌɛpɪˌdiːmiˈɒlədʒi/ Dịch tễ học
67 Risk factors /rɪsk ˈfæktərz/ Yếu tố nguy cơ
68 Level of consciousness /ˈlɛvl əv ˈkɒnʃəsnəs/ Mức độ ý thức
69 Visual response /ˈvɪʒuəl rɪˈspɒns/ Phản ứng thị giác
70 Verbal response /ˈvɜːrbl rɪˈspɒns/ Phản ứng lời nói
71 Motor response /ˈmoʊtər rɪˈspɒns/ Phản ứng vận động
72 Pediatric Glasgow Coma Scale /ˌpiːdiˈætrɪk ˈɡlæzɡoʊ ˈkoʊmə skeɪl/ Thang đo Hôn mê Glasgow Nhi khoa
73 Illicit drugs /ɪˈlɪsɪt drʌɡz/ Thuốc bất hợp pháp
74 Sedating effects /sɪˈdeɪtɪŋ ɪˈfɛkts/ Tác dụng an thần
75 Intubation /ˌɪntjuˈbeɪʃən/ Đặt nội khí quản
76 Tracheostomy /ˌtreɪkiˈɒstəmi/ Mở khí quản
77 Emergency department visits /ɪˈmɜːrdʒənsi dɪˈpɑːrtmənt ˈvɪzɪts/ Lượt khám cấp cứu
78 Hospitalizations /ˌhɒspɪtləˈzeɪʃənz/ Nhập viện
79 Falls /fɔːlz/ Té ngã
80 Sports-related injuries /spɔːrts rɪˈleɪtɪd ˈɪndʒəriz/ Chấn thương liên quan đến thể thao
81 Violent trauma /ˈvaɪələnt ˈtrɔːmə/ Chấn thương do bạo lực
82 Traffic-related incidents /ˈtræfɪk rɪˈleɪtɪd ˈɪnsɪdənts/ Tai nạn liên quan đến giao thông
83 Road traffic accidents (RTAs) /roʊd ˈtræfɪk ˈæksɪdənts/ Tai nạn giao thông đường bộ
84 Child abuse /tʃaɪld əˈbjuːs/ Lạm dụng trẻ em
85 Socioeconomic status /ˌsoʊsioʊˌɛkəˈnɒmɪk ˈsteɪtəs/ Tình trạng kinh tế xã hội
86 Preventative measures /prɪˈvɛntətɪv ˈmɛʒərz/ Biện pháp phòng ngừa
87 Seatbelts /ˈsiːtbɛlts/ Dây an toàn
88 Alcohol abusers /ˈælkəhɒl əˈbjuːzərz/ Người lạm dụng rượu
89 Military TBI /ˈmɪlɪtəri tiː biː aɪ/ Chấn thương sọ não trong quân đội
90 Blast exposure /blæst ɪkˈspoʊʒər/ Tiếp xúc với vụ nổ
91 Projectile fragments /prəˈdʒɛktaɪl ˈfræɡmənts/ Mảnh đạn
92 Mechanical forces /məˈkænɪkl ˈfɔːrsɪz/ Lực cơ học
93 Closed head injuries /kloʊzd hɛd ˈɪndʒəriz/ Chấn thương sọ não kín
94 Contact force /ˈkɒntækt fɔːrs/ Lực tiếp xúc
95 Inertial forces /ɪˈnɜːrʃəl ˈfɔːrsɪz/ Lực quán tính
96 Acceleration /əkˌsɛləˈreɪʃən/ Gia tốc
97 Deceleration /diːˌsɛləˈreɪʃən/ Giảm tốc
98 Gray-white matter junction /ɡreɪ waɪt ˈmætər ˈdʒʌŋkʃən/ Ranh giới chất xám-chất trắng
99 Corpus callosum /ˈkɔːrpəs kəˈloʊsəm/ Thể chai
100 Cortical contusions /ˈkɔːrtɪkl kənˈtjuːʒənz/ Đụng dập vỏ não
101 Dural vessels /ˈdjʊərəl ˈvɛslz/ Mạch máu màng cứng
102 Bridging veins /ˈbrɪdʒɪŋ veɪnz/ Tĩnh mạch bắc cầu
103 Cerebral perfusion pressure (CPP) /ˈsɛrəbrəl pərˈfjuːʒən ˈprɛʃər/ Áp lực tưới máu não
104 Herniation /ˌhɜːrniˈeɪʃən/ Thoát vị (não)
105 Excitotoxic insult /ɪkˌsaɪtoʊˈtɒksɪk ˈɪnsʌlt/ Tổn thương do kích thích độc thần kinh
106 Free radicals /friː ˈrædɪklz/ Gốc tự do
107 Oxidative damage /ˈɒksɪdeɪtɪv ˈdæmɪdʒ/ Tổn thương oxy hóa
108 Cell membranes /sɛl ˈmɛmbreɪnz/ Màng tế bào
109 DNA fragmentation /diː ɛn eɪ ˌfræɡmɛnˈteɪʃən/ Phân mảnh DNA
110 Humoral signaling cascade /ˈhjuːmərəl ˈsɪɡnəlɪŋ kæsˈkeɪd/ Chuỗi tín hiệu dịch thể
111 Cytokines /ˈsaɪtoʊkaɪnz/ Cytokine
112 Chemokines /ˈkiːmoʊkaɪnz/ Chemokine
113 Soluble adhesion molecules /ˈsɒljəbl ədˈhiːʒən ˈmɒlɪkjuːlz/ Phân tử kết dính hòa tan
114 Inflammatory response /ɪnˈflæmətəri rɪˈspɒns/ Phản ứng viêm
115 Neurotoxic compounds /ˌnjʊəroʊˈtɒksɪk ˈkɒmpaʊndz/ Hợp chất độc thần kinh
116 Immunosuppression /ɪˌmjuːnoʊsəˈprɛʃən/ Ức chế miễn dịch
117 Antiinflammatory response /ˌæntiɪnˈflæmətəri rɪˈspɒns/ Phản ứng chống viêm
118 Immunoparalysis /ɪˌmjuːnoʊpəˈrælɪsɪs/ Liệt miễn dịch
119 Hemorrhagic shock /ˌhɛməˈrædʒɪk ʃɒk/ Sốc xuất huyết
120 Hippocampal injury /ˌhɪpoʊˈkæmpl ˈɪndʒəri/ Tổn thương hồi hải mã
121 Secondary ischemia /ˈsɛkəndəri ɪˈskiːmiə/ Thiếu máu cục bộ thứ phát
122 Neuroinflammation /ˌnjʊəroʊˌɪnfləˈmeɪʃən/ Viêm thần kinh
123 Synaptic plasticity /sɪˈnæptɪk plæsˈtɪsɪti/ Tính mềm dẻo của synap
124 Axonal sprouting /ækˈsɒnl ˈspraʊtɪŋ/ Nảy mầm sợi trục
125 Cortical reorganization /ˈkɔːrtɪkl ˌriːˌɔːrɡənaɪˈzeɪʃən/ Tái tổ chức vỏ não
126 Noradrenergic system /ˌnɔːrædrəˈnɜːrdʒɪk ˈsɪstəm/ Hệ thống Noradrenergic
127 Arousal /əˈraʊzəl/ Sự tỉnh táo
128 Sleep-wake cycles /sliːp weɪk ˈsaɪklz/ Chu kỳ ngủ-thức
129 Vigilance /ˈvɪdʒɪləns/ Sự cảnh giác
130 Norepinephrine (NE) /ˌnɔːrˌɛpɪˈnɛfrɪn/ Norepinephrine
131 Adrenergic receptors /ˌædrəˈnɜːrdʒɪk rɪˈsɛptərz/ Thụ thể adrenergic
132 Dopaminergic systems /ˌdoʊpəmɪˈnɜːrdʒɪk ˈsɪstəmz/ Hệ thống dopaminergic
133 Cholinergic systems /ˌkoʊlɪˈnɜːrdʒɪk ˈsɪstəmz/ Hệ thống cholinergic
134 Task salience /tæsk ˈseɪliəns/ Sự nổi bật của nhiệm vụ
135 Concussion /kənˈkʌʃən/ Chấn động não
136 Neuroimaging /ˌnjʊəroʊˈɪmɪdʒɪŋ/ Hình ảnh thần kinh
137 Postconcussive symptoms /ˌpoʊstkənˈkʌsɪv ˈsɪmptəmz/ Triệu chứng sau chấn động
138 Return-to-play (RTP) /rɪˈtɜːn tə pleɪ/ Trở lại thi đấu
139 Return-to-school /rɪˈtɜːn tə skuːl/ Trở lại trường học
140 Social isolation /ˈsoʊʃəl ˌaɪsəˈleɪʃən/ Cô lập xã hội
141 Prehospital care /ˌpriːˈhɒspɪtl kɛər/ Chăm sóc trước bệnh viện
142 Triage /ˈtriːɑːʒ/ Phân loại (bệnh nhân)
143 Trauma center /ˈtrɔːmə ˈsɛntər/ Trung tâm chấn thương
144 Computed tomography (CT) scanning /kəmˈpjuːtɪd təˈmɒɡrəfi ˈskænɪŋ/ Chụp cắt lớp vi tính (CT)
145 Neurosurgical care /ˌnjʊəroʊˈsɜːrdʒɪkl kɛər/ Chăm sóc phẫu thuật thần kinh
146 Intensive care /ɪnˈtɛnsɪv kɛər/ Chăm sóc đặc biệt
147 Decompressive craniectomy /ˌdiːkəmˈprɛsɪv ˌkreɪniˈɛktəmi/ Mở sọ giải áp
148 Hyperosmolar therapy /ˌhaɪpərˈɒzmoʊlər ˈθɛrəpi/ Liệu pháp thẩm thấu
149 Cerebrospinal fluid (CSF) drainage /ˌsɛrɪbroʊˈspaɪnl ˈfluːɪd ˈdreɪnɪdʒ/ Dẫn lưu dịch não tủy
150 Sedation /sɪˈdeɪʃən/ An thần
151 Hyperventilation /ˌhaɪpərˌvɛntɪˈleɪʃən/ Tăng thông khí
152 Multimodal monitoring /ˌmʌltiˈmoʊdl ˈmɒnɪtərɪŋ/ Theo dõi đa phương thức
153 Cerebral tissue oxygenation /ˈsɛrəbrəl ˈtɪʃuː ˌɒksɪdʒəˈneɪʃən/ Oxy hóa mô não
154 Corticosteroids /ˌkɔːrtɪkoʊˈstɛrɔɪdz/ Corticosteroid
155 Progesterone /proʊˈdʒɛstəroʊn/ Progesterone
156 Mass effect /mæs ɪˈfɛkt/ Hiệu ứng khối
157 Depressed skull fracture /dɪˈprɛst skʌl ˈfrækʃər/ Lún sọ
158 Dysautonomia /ˌdɪsɔːtəˈnoʊmiə/ Rối loạn thần kinh thực vật
159 Somatosensory evoked potentials (SSEPs) /ˌsoʊmətoʊˈsɛnsəri ɪˈvoʊkt pəˈtɛnʃəlz/ Điện thế gợi cảm giác thân thể
160 Persistent vegetative states /pərˈsɪstənt ˈvɛdʒɪtətɪv steɪts/ Trạng thái thực vật kéo dài
161 Continuous electroencephalography (cEEG) /kənˈtɪnjuəs ɪˌlɛktroʊɛnˈsɛfəˈlɒɡrəfi/ Điện não đồ liên tục
162 Electrophysiologic signs /ɪˌlɛktroʊˌfɪziəˈlɒdʒɪk saɪnz/ Dấu hiệu điện sinh lý
163 Electrographic seizure /ɪˌlɛktroʊˈɡræfɪk ˈsiːʒər/ Co giật điện não
164 Status epilepticus /ˈsteɪtəs ˌɛpɪˈlɛptɪkəs/ Trạng thái động kinh
165 Pupillary reactivity /ˈpjuːpɪləri ˌriːækˈtɪvɪti/ Phản xạ đồng tử
166 Biomarkers /ˈbaɪoʊˌmɑːrkərz/ Dấu ấn sinh học
167 Magnetic resonance imaging (MRI) /mæɡˈnɛtɪk ˈrɛzənəns ˈɪmɪdʒɪŋ/ Chụp cộng hưởng từ (MRI)
168 Noncontrast CT /ˈnɒnˌkɒntræst siː tiː/ CT không cản quang
169 Brainstem /ˈbreɪnstɛm/ Thân não
170 T1-weighted imaging /tiː wʌn ˈweɪtɪd ˈɪmɪdʒɪŋ/ Hình ảnh trọng T1
171 T2-weighted imaging /tiː tuː ˈweɪtɪd ˈɪmɪdʒɪŋ/ Hình ảnh trọng T2
172 Fluid attenuated inversion recovery (FLAIR) /ˈfluːɪd əˈtɛnjuˌeɪtɪd ɪnˈvɜːrʒən rɪˈkʌvəri/ Chuỗi xung FLAIR
173 Gradient echo /ˈɡreɪdiənt ˈɛkoʊ/ Chuỗi xung Gradient echo
174 Susceptibility weighted imaging (SWI) /səˌsɛptəˈbɪlɪti ˈweɪtɪd ˈɪmɪdʒɪŋ/ Hình ảnh trọng nhạy cảm từ
175 Ranchos Level of Cognitive Functioning Scale /ˈræntʃoʊz ˈlɛvl əv ˈkɒɡnɪtɪv ˈfʌŋkʃənɪŋ skeɪl/ Thang đo Mức độ Chức năng Nhận thức Ranchos
176 Sensory enrichment /ˈsɛnsəri ɪnˈrɪtʃmənt/ Làm giàu cảm giác
177 Multimodal sensory stimuli /ˌmʌltiˈmoʊdl ˈsɛnsəri ˈstɪmjʊlaɪ/ Kích thích cảm giác đa phương thức
178 Psychostimulants /ˌsaɪkoʊˈstɪmjələnts/ Thuốc kích thích tâm thần
179 Dopamine agonists (DA) /ˈdoʊpəmiːn ˈæɡənɪsts/ Thuốc chủ vận dopamine
180 Tricyclic antidepressants /ˌtraɪˈsaɪklɪk ˌæntidɪˈprɛsənts/ Thuốc chống trầm cảm ba vòng
181 Amantadine /əˈmæntədiːn/ Amantadine
182 Galveston Orientation and Amnesia Test (GOAT) /ˈɡælvɪstən ˌɔːriɛnˈteɪʃən ænd æmˈniːziə tɛst/ Bài kiểm tra Định hướng và Mất trí nhớ Galveston
183 Orientation Log (O-Log) /ˌɔːriɛnˈteɪʃən lɒɡ/ Nhật ký Định hướng
184 Physiatrists /ˌfɪziˈætrɪsts/ Bác sĩ phục hồi chức năng
185 Physical therapist /ˈfɪzɪkl ˈθɛrəpɪst/ Nhà vật lý trị liệu
186 Occupational therapist /ˌɒkjuˈpeɪʃənl ˈθɛrəpɪst/ Nhà hoạt động trị liệu
187 Speech-language pathologist (SLP) /spiːtʃ ˈlæŋɡwɪdʒ pəˈθɒlədʒɪst/ Nhà bệnh học ngôn ngữ nói
188 Recreation therapists /ˌrɛkriˈeɪʃən ˈθɛrəpɪsts/ Nhà trị liệu giải trí
189 Neuropsychologists /ˌnjʊəroʊsaɪˈkɒlədʒɪsts/ Nhà tâm lý thần kinh
190 Rehabilitation nursing /ˌriːhəˌbɪlɪˈteɪʃən ˈnɜːrsɪŋ/ Điều dưỡng phục hồi chức năng
191 Case managers /keɪs ˈmænɪdʒərz/ Người quản lý trường hợp
192 Posttraumatic seizure (PTS) /ˌpoʊsttrɔːˈmætɪk ˈsiːʒər/ Co giật sau chấn thương
193 Posttraumatic epilepsy (PTE) /ˌpoʊsttrɔːˈmætɪk ˈɛpɪlɛpsi/ Động kinh sau chấn thương
194 Surgical evacuation /ˈsɜːrdʒɪkl ɪˌvækjuˈeɪʃən/ Phẫu thuật lấy (khối máu tụ)
195 Biparietal contusions /ˌbaɪpəˈraɪətl kənˈtjuːʒənz/ Đụng dập hai bên đỉnh
196 Dural penetration /ˈdjʊərəl ˌpɛnɪˈtreɪʃən/ Xuyên màng cứng
197 Midline shift /ˈmɪdlaɪn ʃɪft/ Lệch đường giữa
198 Antiepileptic drug (AED) /ˌæntiˌɛpɪˈlɛptɪk drʌɡ/ Thuốc chống động kinh
199 Heterotopic ossification (HO) /ˌhɛtəroʊˈtɒpɪk ˌɒsɪfɪˈkeɪʃən/ Cốt hóa lạc chỗ
200 Spasticity /spæsˈtɪsɪti/ Co cứng